Antibody data
- Antibody Data
- Antigen structure
- References [0]
- Comments [0]
- Validations
- Immunocytochemistry [1]
- Immunohistochemistry [1]
Submit
Validation data
Reference
Comment
Report error
- Product number
- PAB17547 - Provider product page

- Provider
- Abnova Corporation
- Proper citation
- Abnova Corporation Cat#PAB17547, RRID:AB_10642922
- Product name
- LGALS2 polyclonal antibody
- Antibody type
- Polyclonal
- Description
- Rabbit polyclonal antibody raised against synthetic peptide of LGALS2.
- Storage
- Store at -20°C.Aliquot to avoid repeated freezing and thawing.
No comments: Submit comment
Supportive validation
- Submitted by
- Abnova Corporation (provider)
- Main image

- Experimental details
- Immunofluorescence analysis of COS-7 cells, using LGALS2 polyclonal antibody (Cat # PAB17547).Peptide "+" means "with peptide blocking".
- Validation comment
- Immunofluorescence
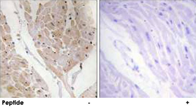
Supportive validation
- Submitted by
- Abnova Corporation (provider)
- Main image

- Experimental details
- Immunohistochemistry analysis of paraffin-embedded human heart tissue using LGALS2 polyclonal antibody (Cat # PAB17547).Peptide "+" means "with peptide blocking".
- Validation comment
- Immunohistochemistry (Formalin/PFA-fixed paraffin-embedded sections)