Antibody data
- Antibody Data
- Antigen structure
- References [0]
- Comments [0]
- Validations
- Western blot [1]
- Immunohistochemistry [1]
Submit
Validation data
Reference
Comment
Report error
- Product number
- AP51207PU-N - Provider product page

- Provider
- OriGene
- Product name
- Dynamitin (DCTN2) (Center) rabbit polyclonal antibody, Purified
- Antibody type
- Polyclonal
- Description
- Dynamitin (DCTN2) (Center) rabbit polyclonal antibody, Purified
- Host
- Rabbit
- Conjugate
- Unconjugated
- Epitope
- DCTN2
- Antibody clone number
- NULL
- Vial size
- 400 µl
- Concentration
- lot specific
No comments: Submit comment
Supportive validation
- Submitted by
- OriGene (provider)
- Main image

- Experimental details
- Western blot analysis of DCTN2 (arrow) using?Dynactin subunit 2 Antibody . 293 cell lysates (2 ug/lane) either nontransfected (Lane 1) or transiently transfected (Lane 2) with the DCTN2 gene.
- Validation comment
- WB
Supportive validation
- Submitted by
- OriGene (provider)
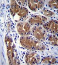
- Main image

- Experimental details
- Formalin fixed and paraffin embedded human stomach tissue stained with ?Dynactin subunit 2?Antibody ??followed by peroxidase conjugation of the secondary antibody and DAB staining
- Validation comment
- IHC