Antibody data
- Antibody Data
- Antigen structure
- References [1]
- Comments [0]
- Validations
- Immunohistochemistry [1]
Submit
Validation data
Reference
Comment
Report error
- Product number
- AF1080 - Provider product page

- Provider
- R&D Systems
- Product name
- Human Cathepsin V Antibody
- Antibody type
- Polyclonal
- Description
- Antigen Affinity-purified. Detects human Cathepsin V in direct ELISAs and Western blots. In direct ELISAs, less than 10% cross-reactivity with recombinant human (rh) Cathepsin C, rhCathepsin S, rhCathepsin H, rhCathepsin F and rhCathepsin L is observed.
- Reactivity
- Human
- Host
- Goat
- Conjugate
- Unconjugated
- Antigen sequence
O60911- Isotype
- IgG
- Vial size
- 100 ug
- Concentration
- LYOPH
- Storage
- Use a manual defrost freezer and avoid repeated freeze-thaw cycles. 12 months from date of receipt, -20 to -70 °C as supplied. 1 month, 2 to 8 °C under sterile conditions after reconstitution. 6 months, -20 to -70 °C under sterile conditions after reconstitution.
Submitted references Deficiency for the cysteine protease cathepsin L promotes tumor progression in mouse epidermis.
Dennemärker J, Lohmüller T, Mayerle J, Tacke M, Lerch MM, Coussens LM, Peters C, Reinheckel T
Oncogene 2010 Mar 18;29(11):1611-21
Oncogene 2010 Mar 18;29(11):1611-21
No comments: Submit comment
Supportive validation
- Submitted by
- R&D Systems (provider)
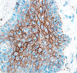
- Main image

- Experimental details
- Cathepsin V in Human Breast Cancer Tissue. Cathepsin V was detected in immersion fixed paraffin-embedded sections of human breast cancer tissue using 1.7 µg/mL Goat Anti-Human Cathepsin V Antigen Affinity-purified Polyclonal Antibody (Catalog # AF1080) overnight at 4 °C. Tissue was stained with the Anti-Goat HRP-DAB Cell & Tissue Staining Kit (brown; Catalog # CTS008) and counterstained with hematoxylin (blue). View our protocol for Chromogenic IHC Staining of Paraffin-embedded Tissue Sections.