Antibody data
- Antibody Data
- Antigen structure
- References [0]
- Comments [0]
- Validations
- Immunocytochemistry [1]
- Immunohistochemistry [4]
Submit
Validation data
Reference
Comment
Report error
- Product number
- PA5-53622 - Provider product page

- Provider
- Invitrogen Antibodies
- Product name
- Anti-Glypican 6 Polyclonal Antibody
- Antibody type
- Polyclonal
- Antigen
- Recombinant full-length protein
- Description
- Immunogen sequence: KGFSLADIPY QEIAGEHLRI CPQEYTCCTT EMEDKLSQQS KLEFENLVEE TSHFVRTTFV SRHKKFDEFF RELLENAEK Highest antigen sequence identity to the following orthologs: Mouse - 100%, Rat - 100%.
- Reactivity
- Human
- Host
- Rabbit
- Isotype
- IgG
- Vial size
- 100 µL
- Concentration
- 0.05 mg/mL
- Storage
- Store at 4°C short term. For long term storage, store at -20°C, avoiding freeze/thaw cycles.
No comments: Submit comment
Supportive validation
- Submitted by
- Invitrogen Antibodies (provider)
- Main image

- Experimental details
- Immunofluorescent staining of Glypican 6 in human cell line A-431 shows positivity in the Golgi apparatus & vesicles. Samples were probed using a Glypican 6 Polyclonal Antibody (Product # PA5-53622).
Supportive validation
- Submitted by
- Invitrogen Antibodies (provider)
- Main image

- Experimental details
- Immunohistochemical staining of Glypican 6 in human kidney using a Glypican 6 Polyclonal Antibody (Product # PA5-53622) shows moderate positivity in apical membrane in cells in tubules.
- Submitted by
- Invitrogen Antibodies (provider)
- Main image

- Experimental details
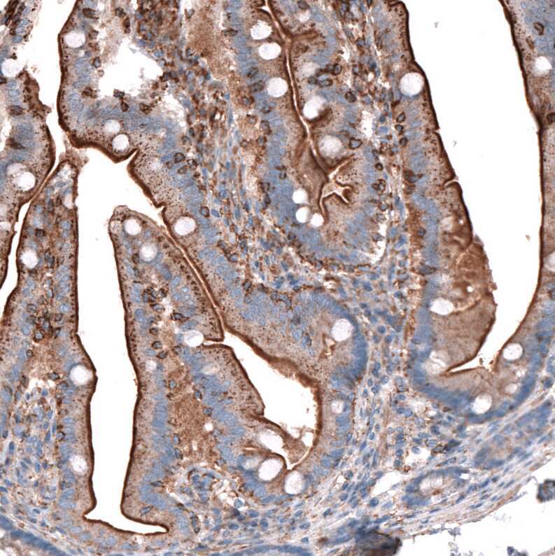
- Immunohistochemical staining of Glypican 6 in human duodenum using a Glypican 6 Polyclonal Antibody (Product # PA5-53622) shows strong immunoreactivity in apical membranes of glandular cells as well as granular cytoplasmic positivity.
- Submitted by
- Invitrogen Antibodies (provider)
- Main image

- Experimental details
- Immunohistochemical staining of Glypican 6 in human uterine cervix using a Glypican 6 Polyclonal Antibody (Product # PA5-53622) shows moderate membranous positivity in squamous epithelial cells.
- Submitted by
- Invitrogen Antibodies (provider)
- Main image

- Experimental details
- Immunohistochemical staining of Glypican 6 in human cerebral cortex using a Glypican 6 Polyclonal Antibody (Product # PA5-53622) shows moderate positivity in neuropil.