Antibody data
- Antibody Data
- Antigen structure
- References [0]
- Comments [0]
- Validations
- Western blot [1]
- Immunohistochemistry [1]
Submit
Validation data
Reference
Comment
Report error
- Product number
- OAAD00241 - Provider product page

- Provider
- Aviva Systems Biology
- Product name
- CIB1 Antibody
- Antibody type
- Monoclonal
- Reactivity
- Human
- Host
- Mouse
- Antibody clone number
- 5A1F5E12, 5A1H7E12
- Vial size
- 0.1ml
- Storage
- Store at 4°C, for long term storage, store at -20°C.
No comments: Submit comment
Supportive validation
- Submitted by
- Aviva Systems Biology (provider)
- Main image

- Experimental details
- western blot analysis using CIB1 mouse mAb against truncated CIB1 recombinant protein (1) and A431 cell lysate (2).
Supportive validation
- Submitted by
- Aviva Systems Biology (provider)
- Main image

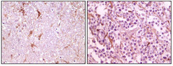
- Experimental details
- Immunohistochemical analysis of paraffinembedded human thalamus (left) and glioma (right) tissue, showing membrane localization using CIB1 mouse mAb with DAB staining.