Antibody data
- Antibody Data
- Antigen structure
- References [0]
- Comments [0]
- Validations
- Western blot [1]
- Immunohistochemistry [1]
Submit
Validation data
Reference
Comment
Report error
- Product number
- AM06136SU-N - Provider product page

- Provider
- OriGene
- Product name
- CIB1 mouse monoclonal antibody, clone 5A1F5E12, Ascites
- Antibody type
- Monoclonal
- Description
- CIB1 mouse monoclonal antibody, clone 5A1F5E12, Ascites
- Host
- Mouse
- Conjugate
- Unconjugated
- Epitope
- CIB1
- Isotype
- IgG
- Antibody clone number
- 5A1F5E12
- Vial size
- 100 µl
No comments: Submit comment
Supportive validation
- Submitted by
- OriGene (provider)
- Main image

- Experimental details
- Western blot analysis using CIB1 antibody Cat.-No AM06136SU-N against truncated CIB1 recombinant protein (Lane 1) and A431 cell lysate (Lane 2).
- Validation comment
- WB
Supportive validation
- Submitted by
- OriGene (provider)
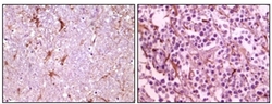
- Main image

- Experimental details
- Immunohistochemical analysis of paraffin-embedded human thalamus (left) and glioma (right) tissue, showing membrane localization using CIB1 antibody Cat.-No AM06136SU-N with DAB staining.
- Validation comment
- IHC