Antibody data
- Antibody Data
- Antigen structure
- References [0]
- Comments [0]
- Validations
- Immunohistochemistry [1]
Submit
Validation data
Reference
Comment
Report error
- Product number
- PA5-19212 - Provider product page

- Provider
- Invitrogen Antibodies
- Product name
- DTX3 Polyclonal Antibody
- Antibody type
- Polyclonal
- Antigen
- Synthetic peptide
- Description
- This antibody is predicted to react with bovine, human and rat based on sequence homology. This antibody is tested in Peptide ELISA: antibody detection limit dilution 8,000.
- Reactivity
- Human, Mouse
- Host
- Goat
- Isotype
- IgG
- Vial size
- 100 μg
- Concentration
- 0.5 mg/mL
- Storage
- -20°C, Avoid Freeze/Thaw Cycles
No comments: Submit comment
Supportive validation
- Submitted by
- Invitrogen Antibodies (provider)
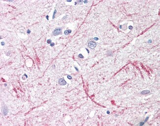
- Main image

- Experimental details
- Immunohistochemistry analysis of DTX3 in human brain, cortex. Samples were incubated with DTX3 polyclonal antibody (Product # PA5-19212) using a dilution of 10 µg/mL. Formalin-fixed, paraffin-embedded tissue after heat-induced antigen retrieval.