Antibody data
- Antibody Data
- Antigen structure
- References [0]
- Comments [0]
- Validations
- Western blot [1]
- Immunohistochemistry [2]
Submit
Validation data
Reference
Comment
Report error
- Product number
- 20559-1-AP - Provider product page

- Provider
- Proteintech Group
- Product name
- CBLN4 antibody
- Antibody type
- Polyclonal
- Description
- CBLN4 antibody (Cat. #20559-1-AP) is a rabbit polyclonal antibody that shows reactivity with human, mouse, rat and has been validated for the following applications: IHC, WB, ELISA.
- Reactivity
- Human, Mouse, Rat
- Host
- Rabbit
- Conjugate
- Unconjugated
- Isotype
- IgG
- Vial size
- 20ul, 150ul
No comments: Submit comment
Supportive validation
- Submitted by
- Proteintech Group (provider)
- Main image

- Experimental details
- mouse cerebellum tissue were subjected to SDS PAGE followed by western blot with 20559-1-AP( CBLN4 Antibody) at dilution of 1:300
- Validation comment
- WB
Supportive validation
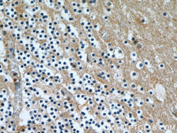
Supportive validation
- Submitted by
- Proteintech Group (provider)
- Main image

- Experimental details
- Immunohistochemical of paraffin-embedded human cerebellum using 20559-1-AP(CBLN4 antibody) at dilution of 1:50 (under 10x lens)
- Validation comment
- IHC
Supportive validation
- Submitted by
- Proteintech Group (provider)
- Main image

- Experimental details
- Immunohistochemical of paraffin-embedded human cerebellum using 20559-1-AP(CBLN4 antibody) at dilution of 1:50 (under 40x lens)
- Validation comment
- IHC