Antibody data
- Antibody Data
- Antigen structure
- References [0]
- Comments [0]
- Validations
- Western blot [1]
- Immunohistochemistry [8]
Submit
Validation data
Reference
Comment
Report error
- Product number
- ABIN2506436 - Provider product page

- Provider
- antibodies-online
- Product name
- anti-Transcription Elongation Factor A (SII)-Like 6 (TCEAL6) antibody
- Antibody type
- Polyclonal
- Antigen
- The antiserum was produced against synthesized peptide derived from internal of human TCEAL6.
- Description
- The antibody was affinity-purified from rabbit antiserum by affinity-chromatography using epitope-specific immunogen.
- Reactivity
- Human
- Host
- Rabbit
- Isotype
- IgG
- Vial size
- 100 μg
- Storage
- Store at -20°C/1 year
No comments: Submit comment
Supportive validation
- Submitted by
- antibodies-online (provider)
- Main image

- Experimental details
- Western blot analysis of rat large intestine tissue using anti-VEGF165 (primary antibody at 1:100)
Supportive validation
- Submitted by
- antibodies-online (provider)
- Main image

- Experimental details
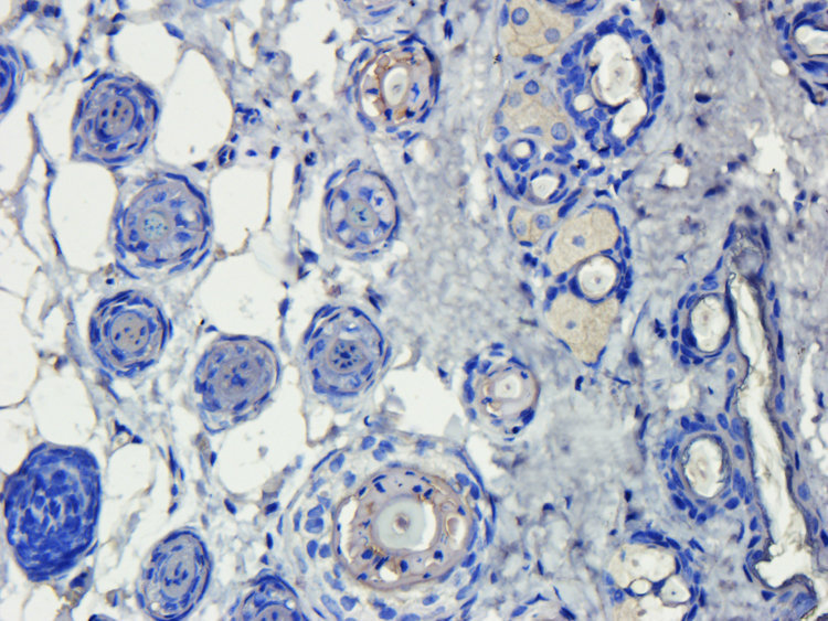
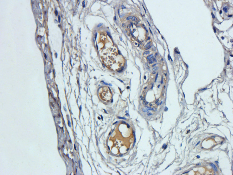
- IHC-P staining of mouse skin tissue using anti-vegf165 (dilution at 1:400)
- Submitted by
- antibodies-online (provider)
- Main image

- Experimental details
- Immunohistochemical staining of paraffin embedded mouse skin tissue using anti-vegf165 (primary antibody at 1:400)
- Submitted by
- antibodies-online (provider)
- Main image

- Experimental details
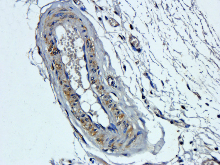
- Immunohistochemical staining of paraffin embedded pig large intestines tissue using anti-vegf165 (primary antibody at 1:400)
- Submitted by
- antibodies-online (provider)
- Main image

- Experimental details
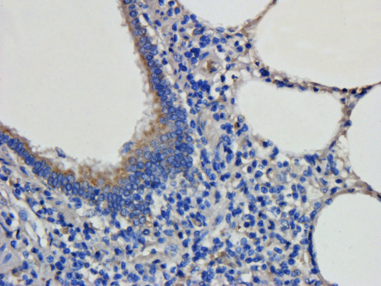
- Immunohistochemical staining of pig lung tissue using vegf165 antibody (dilution of primary antibody - 1:400)
- Submitted by
- antibodies-online (provider)
- Main image

- Experimental details
- IHC-P staining of pig lung tissue using anti-vegf165 (dilution at 1:400)
- Submitted by
- antibodies-online (provider)
- Main image

- Experimental details
- Immunohistochemical staining of mouse kidney tissue using vegf165 antibody (dilution of primary antibody - 1:400)
- Submitted by
- antibodies-online (provider)
- Main image

- Experimental details
- Immunohistochemical staining of pig large intestines tissue using anti-vegf165 (dilution of primary antibody - 1:400)
- Submitted by
- antibodies-online (provider)
- Main image

- Experimental details
- IHC-P image of pig lung tissue using vegf165 antibody (dilution of primary antibody at 1:400)