Antibody data
- Antibody Data
- Antigen structure
- References [0]
- Comments [0]
- Validations
- Western blot [2]
- Immunohistochemistry [1]
Submit
Validation data
Reference
Comment
Report error
- Product number
- ABIN4331300 - Provider product page

- Provider
- antibodies-online
- Product name
- anti-Serine/Threonine Kinase 10 (STK10) (N-Term) antibody
- Antibody type
- Polyclonal
- Description
- Immunogen affinity purified
- Reactivity
- Human
- Host
- Rabbit
- Epitope
- N-Term
- Isotype
- IgG
- Vial size
- 0.1 mL
- Storage
- Aliquot and store at -20°C or -80°C. Avoid freeze-thaw cycles.
No comments: Submit comment
Supportive validation
- Submitted by
- antibodies-online (provider)
- Main image

- Experimental details
- WB
- Submitted by
- antibodies-online (provider)
- Main image

- Experimental details
- WB
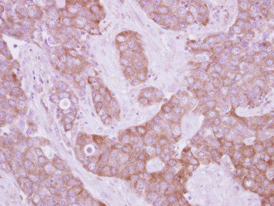
Supportive validation
- Submitted by
- antibodies-online (provider)
- Main image

- Experimental details
- IHC