Antibody data
- Antibody Data
- Antigen structure
- References [0]
- Comments [0]
- Validations
- Western blot [1]
- Immunohistochemistry [1]
Submit
Validation data
Reference
Comment
Report error
- Product number
- ABIN1682760 - Provider product page

- Provider
- antibodies-online
- Product name
- anti-Solute Carrier Family 22 (Organic Anion Transporter), Member 8 (SLC22A8) antibody
- Antibody type
- Polyclonal
- Antigen
- Synthetic peptide
- Reactivity
- Human
- Host
- Rabbit
- Vial size
- 50 μg
No comments: Submit comment
Supportive validation
- Submitted by
- antibodies-online (provider)
- Main image

- Experimental details
- Western blot analysis of extracts of various cell lines, using SLC22A8antibody.
Supportive validation
- Submitted by
- antibodies-online (provider)
- Main image

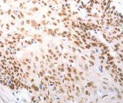
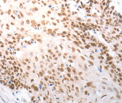
- Experimental details
- Image(s): Immunohistochemistry