Antibody data
- Antibody Data
- Antigen structure
- References [3]
- Comments [0]
- Validations
- Immunohistochemistry [1]
Submit
Validation data
Reference
Comment
Report error
- Product number
- bs-0609R - Provider product page

- Provider
- Bioss
- Proper citation
- Bioss Cat#bs-0609R, RRID:AB_10857861
- Product name
- OAT-3 Polyclonal Antibody
- Antibody type
- Polyclonal
- Description
- KLH conjugated synthetic peptide derived from human OAT-3
- Reactivity
- Human
- Host
- Rabbit
- Conjugate
- Unconjugated
- Isotype
- IgG
- Vial size
- 100ul
- Concentration
- 1ug/ul
- Storage
- Aqueous buffered solution containing 1% BSA, 50% glycerol and 0.09% sodium azide. Store at -20°C for 12 months.
Submitted references Sept7b is required for the subcellular organization of cardiomyocytes and cardiac function in zebrafish.
Insulin Inhibits Nrf2 Gene Expression via Heterogeneous Nuclear Ribonucleoprotein F/K in Diabetic Mice.
Loss of ZFP36 expression in colorectal cancer correlates to wnt/ ß-catenin activity and enhances epithelial-to-mesenchymal transition through upregulation of ZEB1, SOX9 and MACC1.
Dash SN, Narumanchi S, Paavola J, Perttunen S, Wang H, Lakkisto P, Tikkanen I, Lehtonen S
American journal of physiology. Heart and circulatory physiology 2017 May 1;312(5):H1085-H1095
American journal of physiology. Heart and circulatory physiology 2017 May 1;312(5):H1085-H1095
Insulin Inhibits Nrf2 Gene Expression via Heterogeneous Nuclear Ribonucleoprotein F/K in Diabetic Mice.
Ghosh A, Abdo S, Zhao S, Wu CH, Shi Y, Lo CS, Chenier I, Alquier T, Filep JG, Ingelfinger JR, Zhang SL, Chan JSD
Endocrinology 2017 Apr 1;158(4):903-919
Endocrinology 2017 Apr 1;158(4):903-919
Loss of ZFP36 expression in colorectal cancer correlates to wnt/ ß-catenin activity and enhances epithelial-to-mesenchymal transition through upregulation of ZEB1, SOX9 and MACC1.
Montorsi L, Guizzetti F, Alecci C, Caporali A, Martello A, Atene CG, Parenti S, Pizzini S, Zanovello P, Bortoluzzi S, Ferrari S, Grande A, Zanocco-Marani T
Oncotarget 2016 Sep 13;7(37):59144-59157
Oncotarget 2016 Sep 13;7(37):59144-59157
No comments: Submit comment
Supportive validation
- Submitted by
- Bioss (provider)
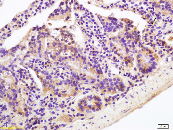
- Main image

- Experimental details
- Formalin-fixed and paraffin embedded mouse intestine labeled with Rabbit Anti OAT-3 Polyclonal Antibody, Unconjugated (bs-0609R) at 1:200 followed by conjugation to the secondary antibody and DAB staining
- Sample type
- Mouse
- Other comments
- Intestine