Antibody data
- Antibody Data
- Antigen structure
- References [0]
- Comments [0]
- Validations
- Western blot [1]
- Immunohistochemistry [2]
Submit
Validation data
Reference
Comment
Report error
- Product number
- ARG65581 - Provider product page 
- Provider
- Arigo
- Product name
- anti-SLC25A4 Antibody
- Antibody type
- Polyclonal
- Antigen
- Synthetic peptide of human SLC25A4
- Description
- Purified by antigen-affinity chromatography.
- Reactivity
- Human, Mouse, Rat
- Host
- Rabbit
- Isotype
- IgG
- Vial size
- 100 µl
- Concentration
- 1.6 mg/ml
- Storage
- Aliquot and store at -20°C or below. Storage in frost free freezers is not recommended. Avoid repeated freeze/thaw cycles. The antibody solution should be gently mixed before use.
- Handling
- The antibody solution should be gently mixed before use.
				No comments: Submit comment	
	
			
							
					Supportive validation
					
									
				
				- Submitted by
- Arigo (provider)
- Main image
 
- Experimental details
- Western Blot: ARG65581 SLC25A4 Antibody at 1/400 dilution with 40 µg of lysates.(1) Mouse heart tissue(2) Mouse muscle tissueExposure time: 1 minute.
							
					Supportive validation
					
									
				
		- Submitted by
- Arigo (provider)
- Main image
 
- Experimental details
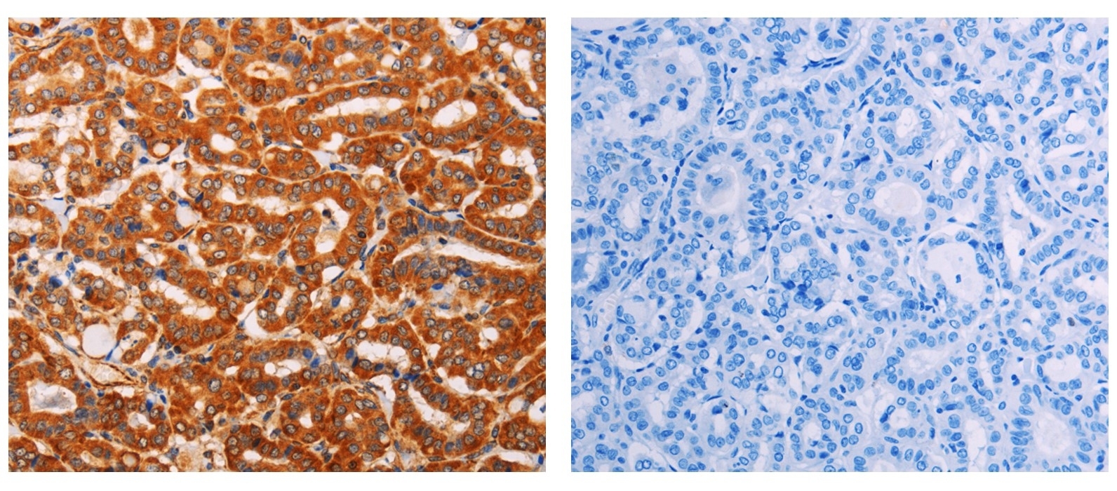
- Immunohistochemistry: paraffin-embedded Human thyroid cancer tissue stained with ARG65581 SLC25A4 Antibody (left) at 1/40 dilution, or the same antibody preincubated with synthetic peptide (right). (Original magnification: ¡Ñ200)
- Submitted by
- Arigo (provider)
- Main image
 
- Experimental details
- Immunohistochemistry: paraffin-embedded Human thyroid cancer tissue stained with ARG65581 SLC25A4 Antibody (left) at 1/40 dilution, or the same antibody preincubated with synthetic peptide (right). (Original magnification: ¡Ñ200)