Antibody data
- Antibody Data
- Antigen structure
- References [0]
- Comments [0]
- Validations
- Western blot [1]
- Immunohistochemistry [6]
Submit
Validation data
Reference
Comment
Report error
- Product number
- LS-C376614 - Provider product page 
- Provider
- LSBio
- Product name
- SLC25A4 / ANT Antibody LS-C376614
- Antibody type
- Polyclonal
- Description
- Protein G purified
- Reactivity
- Human, Mouse
- Host
- Rabbit
- Isotype
- IgG
- Storage
- Short term: store at -20°C. Long term: store at -80°C. Avoid freeze-thaw cycles.
				No comments: Submit comment	
	
			
							
					Enhanced validation
					
									
				
				- Submitted by
- LSBio (provider)
- Enhanced method
- Genetic validation
- Main image
 
- Experimental details
- Western blot. All lanes: SLC25A4 antibody at 8 ug/ml+ Mouse brain tissue Goat polyclonal to rabbit at 1:10000 dilution. Predicted band size: 33 kDa. Observed band size: 33 kDa.
							
					Supportive validation
					
									
				
		- Submitted by
- LSBio (provider)
- Enhanced method
- Genetic validation
- Main image
 
- Experimental details
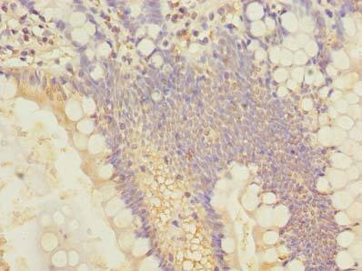
- Immunohistochemistry of paraffin-embedded human small intestine tissue using antibody at dilution of 1:100.
- Submitted by
- LSBio (provider)
- Enhanced method
- Genetic validation
- Main image
 
- Experimental details
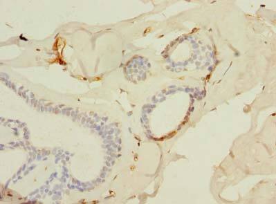
- Immunohistochemistry of paraffin-embedded human breast cancer using antibody at dilution of 1:100.
- Submitted by
- LSBio (provider)
- Enhanced method
- Genetic validation
- Main image
 
- Experimental details
- Immunohistochemistry of paraffin-embedded human small intestine tissue using antibody at dilution of 1:100.
- Submitted by
- LSBio (provider)
- Enhanced method
- Genetic validation
- Main image
 
- Experimental details
- Immunohistochemistry of paraffin-embedded human breast cancer using antibody at dilution of 1:100.
- Submitted by
- LSBio (provider)
- Enhanced method
- Genetic validation
- Main image
 
- Experimental details
- Immunohistochemistry of paraffin-embedded human small intestine tissue using antibody at dilution of 1:100.
- Submitted by
- LSBio (provider)
- Enhanced method
- Genetic validation
- Main image
 
- Experimental details
- Immunohistochemistry of paraffin-embedded human breast cancer using antibody at dilution of 1:100.