Antibody data
- Antibody Data
- Antigen structure
- References [0]
- Comments [0]
- Validations
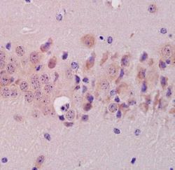
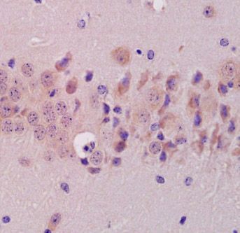
- Immunohistochemistry [1]
Submit
Validation data
Reference
Comment
Report error
- Product number
- GTX51145 - Provider product page

- Provider
- GeneTex
- Product name
- BHLHB9 antibody
- Antibody type
- Polyclonal
- Reactivity
- Mouse
- Host
- Rabbit
No comments: Submit comment
Supportive validation
- Submitted by
- GeneTex (provider)
- Main image

- Experimental details
- IHC-P analysis of mouse brain using BHLHB9 antibody at a dilution of 1:200.