19429-1-AP
antibody from Proteintech Group
Targeting: SLC39A7
D6S2244E, H2-KE4, HKE4, KE4, RING5, ZIP7
Antibody data
- Antibody Data
- Antigen structure
- References [20]
- Comments [0]
- Validations
- Western blot [1]
- Immunohistochemistry [2]
Submit
Validation data
Reference
Comment
Report error
- Product number
- 19429-1-AP - Provider product page

- Provider
- Proteintech Group
- Proper citation
- Proteintech Cat#19429-1-AP, RRID:AB_10643376
- Product name
- ZIP7 antibody
- Antibody type
- Polyclonal
- Description
- KD/KO validated ZIP7 antibody (Cat. #19429-1-AP) is a rabbit polyclonal antibody that shows reactivity with human, mouse, rat and has been validated for the following applications: IHC, IP, WB, ELISA.
- Reactivity
- Human, Mouse, Rat
- Host
- Rabbit
- Conjugate
- Unconjugated
- Isotype
- IgG
- Vial size
- 20ul, 150ul
Submitted references Machine learning-based identification and immune characterization of ferroptosis-related molecular clusters in osteoarthritis and validation.
The Zn(2+) transporter ZIP7 enhances endoplasmic-reticulum-associated protein degradation and prevents neurodegeneration in Drosophila.
The NLRX1-SLC39A7 complex orchestrates mitochondrial dynamics and mitophagy to rejuvenate intervertebral disc by modulating mitochondrial Zn(2+) trafficking.
NVS-ZP7-4 inhibits hepatocellular carcinoma tumorigenesis and promotes apoptosis via PI3K/AKT signaling.
The importance of targeting signalling mechanisms of the SLC39A family of zinc transporters to inhibit endocrine resistant breast cancer.
Expression profiles of SLC39A/ZIP7, ZIP8 and ZIP14 in response to exercise-induced skeletal muscle damage.
Zinc transporter ZIP7 is a novel determinant of ferroptosis.
Zinc transporter SLC39A7 relieves zinc deficiency to suppress alternative macrophage activation and impairment of phagocytosis.
Activated zinc transporter ZIP7 as an indicator of anti-hormone resistance in breast cancer.
Zinc Uptake and Storage During the Formation of the Cerebral Cortex in Mice.
Systematic genetic mapping of necroptosis identifies SLC39A7 as modulator of death receptor trafficking.
B cell activation and proliferation increase intracellular zinc levels.
Prolonged stimulation of insulin release from MIN6 cells causes zinc depletion and loss of β-cell markers.
Knockdown of SLC39A7 inhibits cell growth and induces apoptosis in human colorectal cancer cells.
X-ray fluorescence microscopic measurement of elemental distribution in the mouse retina with age.
Characterization of Zinc Influx Transporters (ZIPs) in Pancreatic β Cells: ROLES IN REGULATING CYTOSOLIC ZINC HOMEOSTASIS AND INSULIN SECRETION.
X-ray fluorescence imaging reveals subcellular biometal disturbances in a childhood neurodegenerative disorder.
Deregulation of subcellular biometal homeostasis through loss of the metal transporter, Zip7, in a childhood neurodegenerative disorder.
Deregulation of biometal homeostasis: the missing link for neuronal ceroid lipofuscinoses?
Altered biometal homeostasis is associated with CLN6 mRNA loss in mouse neuronal ceroid lipofuscinosis.
Guo X, Feng X, Yang Y, An W, Bai L
Aging 2024 May 29;16(11):9437-9459
Aging 2024 May 29;16(11):9437-9459
The Zn(2+) transporter ZIP7 enhances endoplasmic-reticulum-associated protein degradation and prevents neurodegeneration in Drosophila.
Guo X, Mutch M, Torres AY, Nano M, Rauth N, Harwood J, McDonald D, Chen Z, Montell C, Dai W, Montell DJ
Developmental cell 2024 Jul 8;59(13):1655-1667.e6
Developmental cell 2024 Jul 8;59(13):1655-1667.e6
The NLRX1-SLC39A7 complex orchestrates mitochondrial dynamics and mitophagy to rejuvenate intervertebral disc by modulating mitochondrial Zn(2+) trafficking.
Song Y, Liang H, Li G, Ma L, Zhu D, Zhang W, Tong B, Li S, Gao Y, Wu X, Zhang Y, Feng X, Wang K, Yang C
Autophagy 2024 Apr;20(4):809-829
Autophagy 2024 Apr;20(4):809-829
NVS-ZP7-4 inhibits hepatocellular carcinoma tumorigenesis and promotes apoptosis via PI3K/AKT signaling.
Tong Q, Yan D, Cao Y, Dong X, Abula Y, Yang H, Kong P, Yi M
Scientific reports 2023 Jul 21;13(1):11795
Scientific reports 2023 Jul 21;13(1):11795
The importance of targeting signalling mechanisms of the SLC39A family of zinc transporters to inhibit endocrine resistant breast cancer.
Jones S, Farr G, Nimmanon T, Ziliotto S, Gee JMW, Taylor KM
Exploration of targeted anti-tumor therapy 2022 Apr 26;3(2):224-239
Exploration of targeted anti-tumor therapy 2022 Apr 26;3(2):224-239
Expression profiles of SLC39A/ZIP7, ZIP8 and ZIP14 in response to exercise-induced skeletal muscle damage.
Liu J, Xu C, Yu X, Zuo Q
Journal of trace elements in medicine and biology : organ of the Society for Minerals and Trace Elements (GMS) 2021 Sep;67:126784
Journal of trace elements in medicine and biology : organ of the Society for Minerals and Trace Elements (GMS) 2021 Sep;67:126784
Zinc transporter ZIP7 is a novel determinant of ferroptosis.
Chen PH, Wu J, Xu Y, Ding CC, Mestre AA, Lin CC, Yang WH, Chi JT
Cell death & disease 2021 Feb 19;12(2):198
Cell death & disease 2021 Feb 19;12(2):198
Zinc transporter SLC39A7 relieves zinc deficiency to suppress alternative macrophage activation and impairment of phagocytosis.
Xie W, Xue Q, Niu L, Wong KW
PloS one 2020;15(7):e0235776
PloS one 2020;15(7):e0235776
Activated zinc transporter ZIP7 as an indicator of anti-hormone resistance in breast cancer.
Ziliotto S, Gee JMW, Ellis IO, Green AR, Finlay P, Gobbato A, Taylor KM
Metallomics : integrated biometal science 2019 Sep 1;11(9):1579-1592
Metallomics : integrated biometal science 2019 Sep 1;11(9):1579-1592
Zinc Uptake and Storage During the Formation of the Cerebral Cortex in Mice.
Hasna J, Bohic S, Lemoine S, Blugeon C, Bouron A
Molecular neurobiology 2019 Oct;56(10):6928-6940
Molecular neurobiology 2019 Oct;56(10):6928-6940
Systematic genetic mapping of necroptosis identifies SLC39A7 as modulator of death receptor trafficking.
Fauster A, Rebsamen M, Willmann KL, César-Razquin A, Girardi E, Bigenzahn JW, Schischlik F, Scorzoni S, Bruckner M, Konecka J, Hörmann K, Heinz LX, Boztug K, Superti-Furga G
Cell death and differentiation 2019 Jun;26(6):1138-1155
Cell death and differentiation 2019 Jun;26(6):1138-1155
B cell activation and proliferation increase intracellular zinc levels.
Ollig J, Kloubert V, Taylor KM, Rink L
The Journal of nutritional biochemistry 2019 Feb;64:72-79
The Journal of nutritional biochemistry 2019 Feb;64:72-79
Prolonged stimulation of insulin release from MIN6 cells causes zinc depletion and loss of β-cell markers.
Lawson R, Maret W, Hogstrand C
Journal of trace elements in medicine and biology : organ of the Society for Minerals and Trace Elements (GMS) 2018 Sep;49:51-59
Journal of trace elements in medicine and biology : organ of the Society for Minerals and Trace Elements (GMS) 2018 Sep;49:51-59
Knockdown of SLC39A7 inhibits cell growth and induces apoptosis in human colorectal cancer cells.
Sheng N, Yan L, You W, Tan G, Gong J, Chen H, Yang Y, Hu L, Wang Z
Acta biochimica et biophysica Sinica 2017 Oct 1;49(10):926-934
Acta biochimica et biophysica Sinica 2017 Oct 1;49(10):926-934
X-ray fluorescence microscopic measurement of elemental distribution in the mouse retina with age.
Grubman A, Guennel P, Vessey KA, Jones MW, James SA, de Jonge MD, White AR, Fletcher EL
Metallomics : integrated biometal science 2016 Oct 1;8(10):1110-1121
Metallomics : integrated biometal science 2016 Oct 1;8(10):1110-1121
Characterization of Zinc Influx Transporters (ZIPs) in Pancreatic β Cells: ROLES IN REGULATING CYTOSOLIC ZINC HOMEOSTASIS AND INSULIN SECRETION.
Liu Y, Batchuluun B, Ho L, Zhu D, Prentice KJ, Bhattacharjee A, Zhang M, Pourasgari F, Hardy AB, Taylor KM, Gaisano H, Dai FF, Wheeler MB
The Journal of biological chemistry 2015 Jul 24;290(30):18757-69
The Journal of biological chemistry 2015 Jul 24;290(30):18757-69
X-ray fluorescence imaging reveals subcellular biometal disturbances in a childhood neurodegenerative disorder.
Grubman A, James SA, James J, Duncan C, Volitakis I, Hickey JL, Crouch PJ, Donnelly PS, Kanninen KM, Liddell JR, Cotman SL, de Jonge, White AR
Chemical science 2014 Jun;5(6):2503-2516
Chemical science 2014 Jun;5(6):2503-2516
Deregulation of subcellular biometal homeostasis through loss of the metal transporter, Zip7, in a childhood neurodegenerative disorder.
Grubman A, Lidgerwood GE, Duncan C, Bica L, Tan JL, Parker SJ, Caragounis A, Meyerowitz J, Volitakis I, Moujalled D, Liddell JR, Hickey JL, Horne M, Longmuir S, Koistinaho J, Donnelly PS, Crouch PJ, Tammen I, White AR, Kanninen KM
Acta neuropathologica communications 2014 Feb 28;2:25
Acta neuropathologica communications 2014 Feb 28;2:25
Deregulation of biometal homeostasis: the missing link for neuronal ceroid lipofuscinoses?
Grubman A, Pollari E, Duncan C, Caragounis A, Blom T, Volitakis I, Wong A, Cooper J, Crouch PJ, Koistinaho J, Jalanko A, White AR, Kanninen KM
Metallomics : integrated biometal science 2014 Apr;6(4):932-43
Metallomics : integrated biometal science 2014 Apr;6(4):932-43
Altered biometal homeostasis is associated with CLN6 mRNA loss in mouse neuronal ceroid lipofuscinosis.
Kanninen KM, Grubman A, Caragounis A, Duncan C, Parker SJ, Lidgerwood GE, Volitakis I, Ganio G, Crouch PJ, White AR
Biology open 2013 Jun 15;2(6):635-46
Biology open 2013 Jun 15;2(6):635-46
No comments: Submit comment
Supportive validation
- Submitted by
- Proteintech Group (provider)
- Main image

- Experimental details
- mouse liver tissue were subjected to SDS PAGE followed by western blot with 19429-1-AP(SLC39A7 antibody) at dilution of 1:500
- Sample type
- tissue
Supportive validation
- Submitted by
- Proteintech Group (provider)
- Main image

- Experimental details
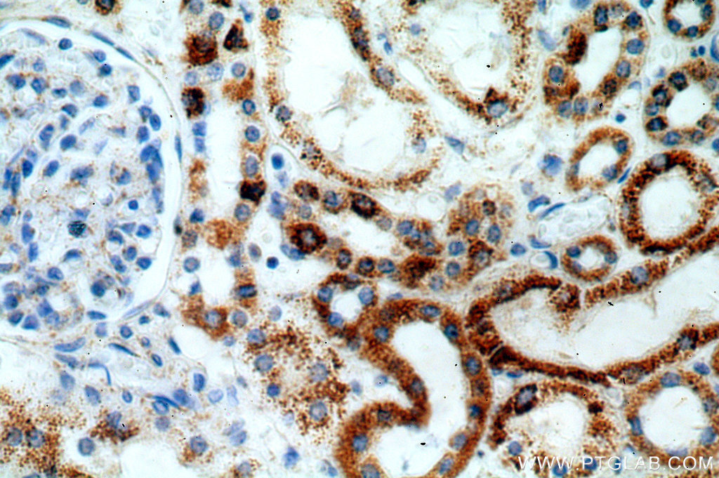
- Immunohistochemical of paraffin-embedded human kidney using 19429-1-AP(SLC39A7 antibody) at dilution of 1:100 (under 10x lens)
- Sample type
- tissue
- Submitted by
- Proteintech Group (provider)
- Main image

- Experimental details
- The ZIP7 antibody from Proteintech is a rabbit polyclonal antibody to a fusion protein of human ZIP7. This antibody recognizes human,mouse,rat antigen. The ZIP7 antibody has been validated for the following applications: ELISA, WB, IHC analysis.