Antibody data
- Antibody Data
- Antigen structure
- References [0]
- Comments [0]
- Validations
- Immunohistochemistry [2]
Submit
Validation data
Reference
Comment
Report error
- Product number
- AP31256PU-N - Provider product page

- Provider
- OriGene
- Product name
- SLC39A7 (N-term) rabbit polyclonal antibody, Purified
- Antibody type
- Polyclonal
- Description
- SLC39A7 (N-term) rabbit polyclonal antibody, Purified
- Host
- Rabbit
- Conjugate
- Unconjugated
- Epitope
- SLC39A7
- Antibody clone number
- NULL
- Vial size
- 50 µg
- Concentration
- 1,0 mg/ml
No comments: Submit comment
Supportive validation
- Submitted by
- OriGene (provider)
- Main image

- Experimental details
- Human Colon, Myenteric Plexus: Formalin-Fixed, Paraffin-Embedded (FFPE)
- Validation comment
- IHC
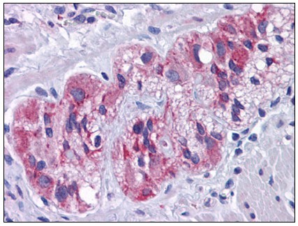
- Submitted by
- OriGene (provider)
- Main image

- Experimental details
- Human Breast: Formalin-Fixed, Paraffin-Embedded (FFPE)
- Validation comment
- IHC