Antibody data
- Antibody Data
- Antigen structure
- References [0]
- Comments [0]
- Validations
- Western blot [3]
- Immunocytochemistry [2]
- Immunohistochemistry [6]
Submit
Validation data
Reference
Comment
Report error
- Product number
- 60063-1-IG - Provider product page

- Provider
- Invitrogen Antibodies
- Product name
- Stanniocalcin 2 Monoclonal Antibody (4H1E7)
- Antibody type
- Monoclonal
- Antigen
- Other
- Reactivity
- Human, Mouse, Porcine
- Host
- Mouse
- Isotype
- IgG
- Antibody clone number
- 4H1E7
- Vial size
- 150 µL
- Concentration
- 1 mg/mL
- Storage
- -20°C
No comments: Submit comment
Supportive validation
- Submitted by
- Invitrogen Antibodies (provider)
- Main image

- Experimental details
- HEK-293 cells were subjected to SDS PAGE followed by western blot with 60063-1-Ig (Stanniocalcin 2 antibody) at dilution of 1:300 incubated at room temperature for 1.5 hours.
- Submitted by
- Invitrogen Antibodies (provider)
- Main image

- Experimental details
- HEK-293 cells were subjected to SDS PAGE followed by western blot with 60063-1-Ig (Stanniocalcin 2 antibody) at dilution of 1:250 incubated at room temperature for 1.5 hours.
- Submitted by
- Invitrogen Antibodies (provider)
- Main image

- Experimental details
- HEK-293 cells were subjected to SDS PAGE followed by western blot with 60063-1-IG (Stanniocalcin 2 antibody) at dilution of 1:1000 incubated at room temperature for 1.5 hours.
Supportive validation
- Submitted by
- Invitrogen Antibodies (provider)
- Main image

- Experimental details
- Immunofluorescent analysis of (-20°C Ethanol) fixed HeLa cells using (Product # 60063-1-IG) (Stanniocalcin 2 antibody) at dilution of 1:100 and CoraLite488-Conjugated AffiniPure Goat Anti-Mouse IgG(H+L).
- Submitted by
- Invitrogen Antibodies (provider)
- Main image

- Experimental details
- Immunofluorescent analysis of Hela cells, using STC2 antibody 60063-1-IG at 1:25 dilution and Rhodamine-labeled goat anti-mouse IGG (red). Blue pseudocolor = DAPI (fluorescent DNA dye).
Supportive validation
- Submitted by
- Invitrogen Antibodies (provider)
- Main image

- Experimental details
- Immunohistochemistry of paraffin-embedded human kidney slide using 60063-1-Ig (Stanniocalcin 2 antibody at dilution of 1:50.
- Submitted by
- Invitrogen Antibodies (provider)
- Main image

- Experimental details
- Immunohistochemistry of paraffin-embedded human kidney slide using 60063-1-Ig (Stanniocalcin 2 antibody at dilution of 1:50.
- Submitted by
- Invitrogen Antibodies (provider)
- Main image

- Experimental details
- Immunohistochemistry of paraffin-embedded human stomach cancer slide using 60063-1-Ig (Stanniocalcin 2 antibody at dilution of 1:50.
- Submitted by
- Invitrogen Antibodies (provider)
- Main image

- Experimental details
- Immunohistochemistry of paraffin-embedded human stomach cancer slide using 60063-1-Ig (Stanniocalcin 2 antibody at dilution of 1:50.
- Submitted by
- Invitrogen Antibodies (provider)
- Main image

- Experimental details
- Immunohistochemistry of paraffin-embedded human breast cancer using 60063-1-IG (Stanniocalcin 2 antibody) at dilution of 1:50 (under 10x lens).
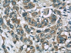
- Submitted by
- Invitrogen Antibodies (provider)
- Main image

- Experimental details
- Immunohistochemistry of paraffin-embedded human breast cancer using 60063-1-IG (Stanniocalcin 2 antibody) at dilution of 1:50 (under 40x lens).