Antibody data
- Antibody Data
 - Antigen structure
 - References [2]
 - Comments [0]
 - Validations
 - Western blot [1]
 - Immunohistochemistry [2]
 
Submit
Validation data
Reference
Comment
Report error
- Product number
 - 13490-1-AP - Provider product page

 - Provider
 - Proteintech Group
 - Proper citation
 - Proteintech Cat#13490-1-AP, RRID:AB_2063054
 - Product name
 - B3GALT4 antibody
 - Antibody type
 - Polyclonal
 - Description
 - B3GALT4 antibody (Cat. #13490-1-AP) is a rabbit polyclonal antibody that shows reactivity with human, mouse, rat and has been validated for the following applications: IHC,ELISA.
 - Reactivity
 - Human, Mouse, Rat
 - Host
 - Rabbit
 - Conjugate
 - Unconjugated
 - Isotype
 - IgG
 - Vial size
 - 20ul, 150ul
 
Submitted references		TNFα-signal and cAMP-mediated signals oppositely regulate melanoma- associated ganglioside GD3 synthase gene in human melanocytes.
				
Functional role of gangliotetraosylceramide in epithelial-to-mesenchymal transition process induced by hypoxia and by TGF-{beta}.
				
		
	
			Takeuchi R, Kambe M, Miyata M, Jeyadevan U, Tajima O, Furukawa K, Furukawa K
Scientific reports 2019 Oct 14;9(1):14740
		Scientific reports 2019 Oct 14;9(1):14740
Functional role of gangliotetraosylceramide in epithelial-to-mesenchymal transition process induced by hypoxia and by TGF-{beta}.
			Guan F, Schaffer L, Handa K, Hakomori SI
FASEB journal : official publication of the Federation of American Societies for Experimental Biology 2010 Dec;24(12):4889-903
		FASEB journal : official publication of the Federation of American Societies for Experimental Biology 2010 Dec;24(12):4889-903
				No comments: Submit comment	
	
			
							
					Supportive validation
					
									
				
				- Submitted by
 - Proteintech Group (provider)
 - Main image
 
- Experimental details
 - Transfected HEK-293 cells were subjected to SDS PAGE followed by western blot with 13490-1-AP( B3GALT4 Antibody) at dilution of 1:1000
 - Sample type
 - cell line
 
							
					Supportive validation
					
									
				
		
		- Submitted by
 - Proteintech Group (provider)
 - Main image
 
- Experimental details
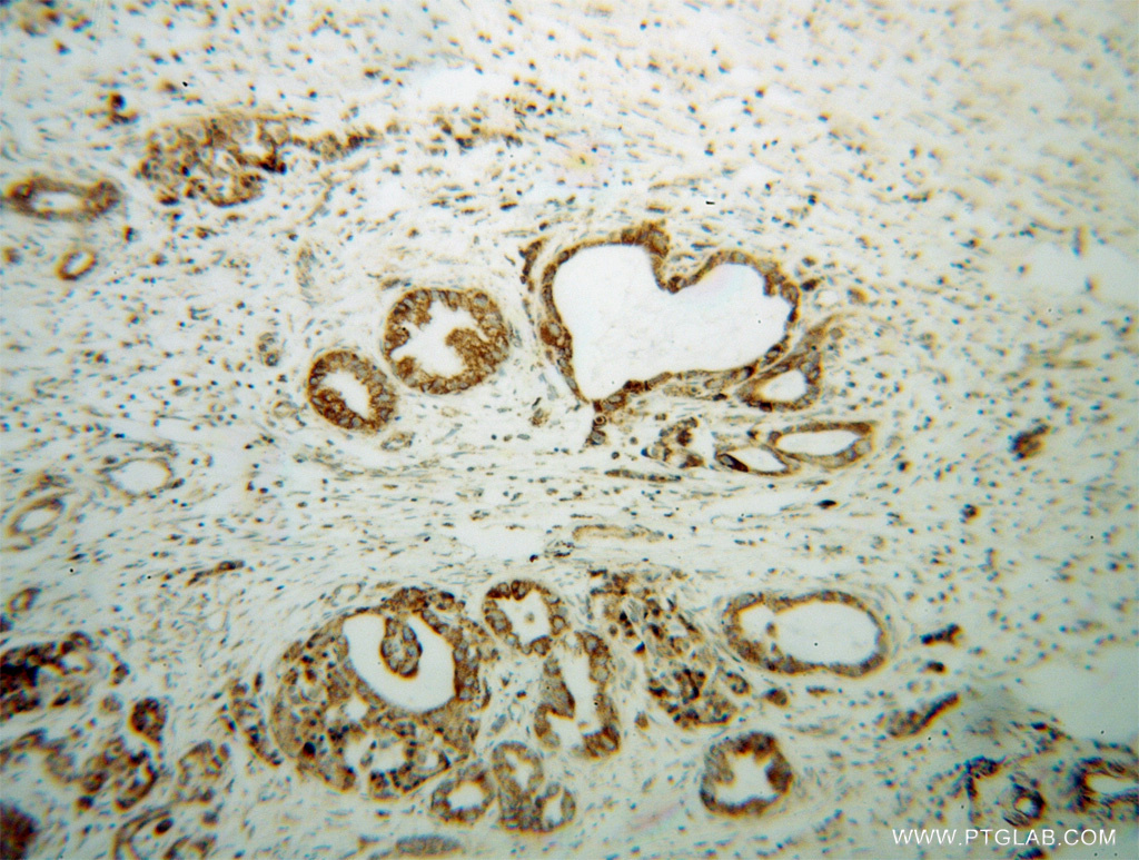
 - Immunohistochemical of paraffin-embedded human pancreas cancer using 13490-1-AP(B3GALT4 antibody) at dilution of 1:100 (under 10x lens)
 - Sample type
 - tissue
 
- Submitted by
 - Proteintech Group (provider)
 - Main image
 
- Experimental details
 - The B3GALT4 antibody from Proteintech is a rabbit polyclonal antibody to a recombinant protein of human B3GALT4. This antibody recognizes human,mouse,rat antigen. The B3GALT4 antibody has been validated for the following applications: ELISA, IHC, WB analysis.