Antibody data
- Antibody Data
- Antigen structure
- References [1]
- Comments [0]
- Validations
- Immunohistochemistry [1]
- Other assay [1]
Submit
Validation data
Reference
Comment
Report error
- Product number
- PA5-72873 - Provider product page

- Provider
- Invitrogen Antibodies
- Product name
- PMEPA1 Polyclonal Antibody
- Antibody type
- Polyclonal
- Antigen
- Synthetic peptide
- Reactivity
- Human, Mouse, Rat
- Host
- Rabbit
- Isotype
- IgG
- Vial size
- 100 μg
- Concentration
- 1 mg/mL
- Storage
- Store at 4°C short term. For long term storage, store at -20°C, avoiding freeze/thaw cycles.
Submitted references Combination of Fish Oil and Selenium Enhances Anticancer Efficacy and Targets Multiple Signaling Pathways in Anti-VEGF Agent Treated-TNBC Tumor-Bearing Mice.
Guo CH, Hsia S, Chung CH, Lin YC, Shih MY, Chen PC, Hsu GW, Fan CT, Peng CL
Marine drugs 2021 Mar 29;19(4)
Marine drugs 2021 Mar 29;19(4)
No comments: Submit comment
Supportive validation
- Submitted by
- Invitrogen Antibodies (provider)
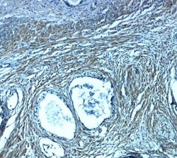
- Main image

- Experimental details
- Immunohistochemistry of PMEPA1 in human prostate tissue with PMEPA1 Polyclonal Antibody (Product # PA5-72873) at 2.5 µg/mL.
Supportive validation
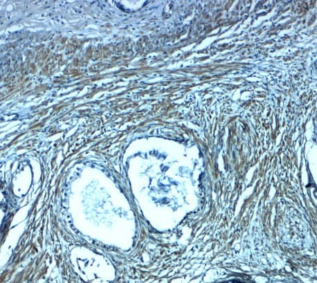
- Submitted by
- Invitrogen Antibodies (provider)
- Main image

- Experimental details
- Figure 5 Expression of c-Src-Jak2-STAT3-TMEPAI-Smad and GSK3 beta/beta-catenin signaling. ( a ) Protein levels of c-Src-Jak2-STAT3-TMEPAI-Smad and GSK3beta/beta-catenin, and ( b ) relative GSK3beta and beta-catenin mRNA in tumor tissues of 4T1 tumor-bearing mice were determined by qRT-PCR. Values are expressed as relative reading (mean +- SEM) from at least three or four independent observations. Bars with different superscripts ( a, b, c, and d ) are significantly different ( p < 0.05). Details of groups illustrated are as Figure 1 . TMEPAI = prostate transmembrane protein androgen induced 1; GSK3beta = glycogen synthase kinase 3beta.