Antibody data
- Antibody Data
- Antigen structure
- References [0]
- Comments [0]
- Validations [0]
Submit
Validation data
Reference
Comment
Report error
- Product number
- HPA043032 - Provider product page

- Provider
- Atlas Antibodies
- Proper citation
- Atlas Antibodies Cat#HPA043032, RRID:AB_2678278
- Product name
- Anti-PFDN6
- Antibody type
- Polyclonal
- Description
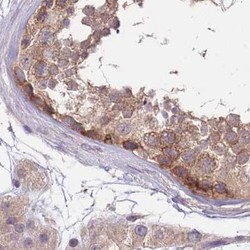
- Polyclonal Antibody against Human PFDN6, Gene description: prefoldin subunit 6, Alternative Gene Names: H2-KE2, HKE2, KE-2, PFD6, Validated applications: IHC, Uniprot ID: O15212, Storage: Store at +4°C for short term storage. Long time storage is recommended at -20°C.
- Reactivity
- Human
- Host
- Rabbit
- Conjugate
- Unconjugated
- Isotype
- IgG
- Vial size
- 100 µl
- Concentration
- 0.1 mg/ml
- Storage
- Store at +4°C for short term storage. Long time storage is recommended at -20°C.
- Handling
- The antibody solution should be gently mixed before use.
No comments: Submit comment
No validations: Submit validation data