Antibody data
- Antibody Data
- Antigen structure
- References [0]
- Comments [0]
- Validations
- Immunocytochemistry [1]
- Immunohistochemistry [3]
Submit
Validation data
Reference
Comment
Report error
- Product number
- PA5-59619 - Provider product page

- Provider
- Invitrogen Antibodies
- Product name
- PRSS54 Polyclonal Antibody
- Antibody type
- Polyclonal
- Antigen
- Recombinant protein fragment
- Description
- Immunogen sequence: VFYGPDPKEG LVSSMEFPWV VSLQDSQYTH LAFGCILSEF WVLSIASAIQ NRKDIVVIVG ISNMDPSKIA HTEYPVNTII IHEDFDNNSM SN Highest antigen sequence identity to the following orthologs: Mouse - 68%, Rat - 64%.
- Reactivity
- Human
- Host
- Rabbit
- Isotype
- IgG
- Vial size
- 100 μL
- Concentration
- 0.1 mg/mL
- Storage
- Store at 4°C short term. For long term storage, store at -20°C, avoiding freeze/thaw cycles.
No comments: Submit comment
Supportive validation
- Submitted by
- Invitrogen Antibodies (provider)
- Main image

- Experimental details
- Immunofluorescent staining of PRSS54 in human cell line A-431 shows positivity in cytoplasm. Samples were probed using a PRSS54 Polyclonal Antibody (Product # PA5-59619).
Supportive validation
- Submitted by
- Invitrogen Antibodies (provider)
- Main image

- Experimental details
- Immunohistochemical staining of PRSS54 in human testis and endometrium tissues using PRSS54 Polyclonal Antibody (Product # PA5-59619). Corresponding PRSS54 RNA-seq data are presented for the same tissues.
- Submitted by
- Invitrogen Antibodies (provider)
- Main image

- Experimental details
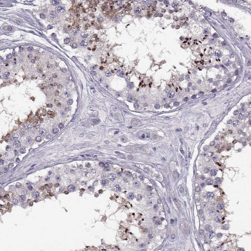
- Immunohistochemical staining of PRSS54 in human testis using PRSS54 Polyclonal Antibody (Product # PA5-59619) shows high expression.
- Submitted by
- Invitrogen Antibodies (provider)
- Main image

- Experimental details
- Immunohistochemical staining of PRSS54 in human endometrium using PRSS54 Polyclonal Antibody (Product # PA5-59619) shows low expression as expected.