Antibody data
- Antibody Data
- Antigen structure
- References [0]
- Comments [0]
- Validations
- Western blot [1]
- Immunohistochemistry [2]
Submit
Validation data
Reference
Comment
Report error
- Product number
- R20475-0.1ML - Provider product page

- Provider
- NSJ Bioreagents
- Product name
- Asprosin Antibody
- Antibody type
- Monoclonal
- Description
- This highly specific Asprosin antibody is suitable for use in Western blot/Immunohistochemistry applications with human samples.
- Reactivity
- Human
- Host
- Rabbit
- Conjugate
- Unconjugated
- Antibody clone number
- RM463
- Vial size
- 100 ul
- Concentration
- Antibody in PBS with 50% glycerol, 1% BSA and 0.09% sodium azide
- Storage
- Store the recombinant Asprosin antibody at -20oC.
No comments: Submit comment
Supportive validation
- Submitted by
- NSJ Bioreagents (provider)
- Main image

- Experimental details
- Western blot testing of human plasma with recombinant Asprosin antibody at 1:25000. Predicted molecular weight ~16 kDa but may be observed at higher molecular weights due to glycosylation.
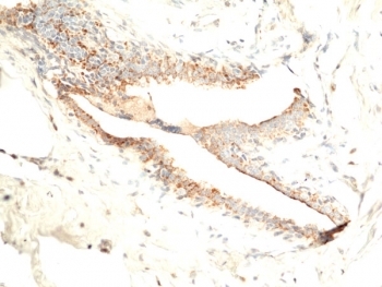
Supportive validation
- Submitted by
- NSJ Bioreagents (provider)
- Main image

- Experimental details
- IHC staining of FFPE human breast tissue with recombinant Asprosin antibody at 1:100.
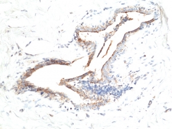
- Submitted by
- NSJ Bioreagents (provider)
- Main image

- Experimental details
- IHC staining of FFPE human breast tissue with recombinant Asprosin antibody at 1:100.