Antibody data
- Antibody Data
- Antigen structure
- References [0]
- Comments [0]
- Validations
- Western blot [2]
- Immunocytochemistry [1]
- Immunohistochemistry [1]
Submit
Validation data
Reference
Comment
Report error
- Product number
- PAB28636 - Provider product page

- Provider
- Abnova Corporation
- Product name
- TOMM22 polyclonal antibody
- Antibody type
- Polyclonal
- Description
- Rabbit polyclonal antibody raised against recombinant TOMM22.
- Antigen sequence
MAAAVAAAGAGEPQSPDELLPKGDAEKPEEELEED
DDEELDETLSERLWGLTEMFPERVRSAAGATFDLS
LFVAQK- Isotype
- IgG
- Storage
- Store at 4°C. For long term storage store at -20°C.Aliquot to avoid repeated freezing and thawing.
No comments: Submit comment
Supportive validation
- Submitted by
- Abnova Corporation (provider)
- Main image

- Experimental details
- Western blot analysis of Lane 1: Human cell line RT-4, Lane 2: Human cell line U-251MG sp with TOMM22 polyclonal antibody (Cat # PAB28636) at 1:100-1:250 dilution.
- Submitted by
- Abnova Corporation (provider)
- Main image

- Experimental details
- Western blot analysis of Lane 1: NIH-3T3 cell lysate (Mouse embryonic fibroblast cells), Lane 2: NBT-II cell lysate (Rat Wistar bladder tumour cells) with TOMM22 polyclonal antibody (Cat # PAB28636) at 1:100-1:500 dilution.
Supportive validation
- Submitted by
- Abnova Corporation (provider)
- Main image

- Experimental details
- Immunofluorescent staining of human cell line A-431 with TOMM22 polyclonal antibody (Cat # PAB28636) at 1-4 ug/ml shows positivity in mitochondria.
- Validation comment
- Immunofluorescence
Supportive validation
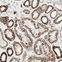
- Submitted by
- Abnova Corporation (provider)
- Main image

- Experimental details
- Immunohistochemical staining of human kidney with TOMM22 polyclonal antibody (Cat # PAB28636) shows strong cytoplasmic positivity in renal tubules at 1:200-1:500 dilution.
- Validation comment
- Immunohistochemistry (Formalin/PFA-fixed paraffin-embedded sections)