Antibody data
- Antibody Data
- Antigen structure
- References [0]
- Comments [0]
- Validations
- Western blot [4]
- ELISA [1]
- Immunocytochemistry [1]
- Immunohistochemistry [1]
Submit
Validation data
Reference
Comment
Report error
- Product number
- H00056993-M01 - Provider product page

- Provider
- Novus Biologicals
- Proper citation
- Novus Cat#H00056993-M01, RRID:AB_2207543
- Product name
- Mouse Monoclonal TOMM22 Antibody
- Antibody type
- Monoclonal
- Description
- IgG purified. TOMM22 - translocase of outer mitochondrial membrane 22 homolog (yeast)
- Reactivity
- Human, Mouse, Rat
- Host
- Mouse
- Isotype
- IgG
- Vial size
- 0.1 mg
- Storage
- Aliquot and store at -20C or -80C. Avoid freeze-thaw cycles.
No comments: Submit comment
Supportive validation
- Submitted by
- Novus Biologicals (provider)
- Main image

- Experimental details
- Western Blot: TOMM22 Antibody (4G4) [H00056993-M01] - Analysis of TOMM22 over-expressed 293 cell line, cotransfected with TOMM22 Validated Chimera RNAi ( Cat # H00056993-R01V ) (Lane 2) or non-transfected control (Lane 1). Blot probed with TOMM22 monoclonal antibody (M01), clone 4G4 (Cat # H00056993-M01 ). GAPDH ( 36.1 kDa ) used as specificity and loading control.
- Submitted by
- Novus Biologicals (provider)
- Main image

- Experimental details
- Western Blot: TOMM22 Antibody (4G4) [H00056993-M01] - Analysis of TOMM22 expression in transfected 293T cell line by TOMM22 monoclonal antibody (M01), clone 4G4.Lane 1: TOMM22 transfected lysate(15.5 KDa).Lane 2: Non-transfected lysate.
- Submitted by
- Novus Biologicals (provider)
- Main image

- Experimental details
- Western Blot: TOMM22 Antibody (4G4) [H00056993-M01] - TOMM22 monoclonal antibody (M01), clone 4G4 Analysis of TOMM22 expression in NIH/3T3.
- Submitted by
- Novus Biologicals (provider)
- Main image

- Experimental details
- Western Blot: TOMM22 Antibody (4G4) [H00056993-M01] - TOMM22 monoclonal antibody (M01), clone 4G4. Analysis of TOMM22 expression in PC-12.
Supportive validation
- Submitted by
- Novus Biologicals (provider)
- Main image

- Experimental details
- Sandwich ELISA: TOMM22 Antibody (4G4) [H00056993-M01] - Detection limit for recombinant GST tagged TOMM22 is 0.1 ng/ml as a capture antibody.
Supportive validation
- Submitted by
- Novus Biologicals (provider)
- Main image

- Experimental details
- Immunocytochemistry/Immunofluorescence: TOMM22 Antibody (4G4) [H00056993-M01] - Analysis of monoclonal antibody to TOMM22 on HeLa cell. Antibody concentration 10 ug/ml.
Supportive validation
- Submitted by
- Novus Biologicals (provider)
- Main image

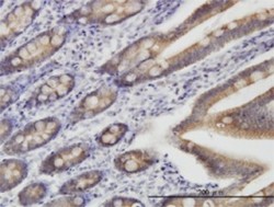
- Experimental details
- Immunohistochemistry-Paraffin: TOMM22 Antibody (4G4) [H00056993-M01] - Analysis of monoclonal antibody to TOMM22 on formalin-fixed paraffin-embedded human small Intestine. Antibody concentration 3 ug/ml.