Antibody data
- Antibody Data
- Antigen structure
- References [0]
- Comments [0]
- Validations
- Western blot [2]
- Immunocytochemistry [2]
- Flow cytometry [1]
Submit
Validation data
Reference
Comment
Report error
- Product number
- CF505198 - Provider product page

- Provider
- Invitrogen Antibodies
- Product name
- OTUB1 Monoclonal Antibody (OTI5F6), TrueMAB™
- Antibody type
- Monoclonal
- Antigen
- Recombinant full-length protein
- Reactivity
- Human
- Host
- Mouse
- Isotype
- IgG
- Antibody clone number
- OTI5F6
- Vial size
- 100 µg
- Concentration
- 1 mg/mL
- Storage
- -20° C, Avoid Freeze/Thaw Cycles
No comments: Submit comment
Supportive validation
- Submitted by
- Invitrogen Antibodies (provider)
- Main image

- Experimental details
- HEK293T cells were transfected with the pCMV6-ENTRY control (Left lane) or pCMV6-ENTRY OTUB1 (RC210648, Right lane) cDNA for 48 hrs and lysed. Equivalent amounts of cell lysates (5 µg per lane) were separated by SDS-PAGE and immunoblotted with anti-OTUB1. Positive lysates LY402607 (100 µg) and LC402607 (20 µg) can be purchased separately from OriGene.
- Submitted by
- Invitrogen Antibodies (provider)
- Main image

- Experimental details
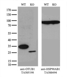
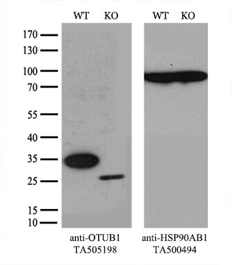
- Equivalent amounts of cell lysates (10 µg per lane) of wild-type 293T cells (WT, Cat# LC810293T) and OTUB1-Knockout 293T cells (KO, Cat# LC810883) were separated by SDS-PAGE and immunoblotted with anti-OTUB1 monoclonal antibody TA505198, (1:500). Then the blotted membrane was stripped and reprobed with anti-HSP90AB1 antibody (TA500494) as a loading control.
Supportive validation
- Submitted by
- Invitrogen Antibodies (provider)
- Main image

- Experimental details
- Anti-OTUB1 mouse monoclonal antibody (TA505198) Immunofluorescent staining of COS7 cells transiently transfected by pCMV6-ENTRY OTUB1(RC210648).
- Submitted by
- Invitrogen Antibodies (provider)
- Main image

- Experimental details
- Anti-OTUB1 mouse monoclonal antibody (TA505198) Immunofluorescent staining of COS7 cells transiently transfected by pCMV6-ENTRY OTUB1(RC210648).
Supportive validation
- Submitted by
- Invitrogen Antibodies (provider)
- Main image

- Experimental details
- HEK293T cells transfected with either RC210648 overexpress plasmid (Red) or empty vector control plasmid (Blue) were immunostained by anti-OTUB1 antibody (TA505198), and then analyzed by flow cytometry.