AP22579PU-N
antibody from Acris Antibodies GmbH
Targeting: SEPTIN2
DIFF6, hNedd5, KIAA0158, NEDD5, Pnutl3, SEPT2
Antibody data
- Antibody Data
- Antigen structure
- References [0]
- Comments [0]
- Validations
- Western blot [1]
- Immunohistochemistry [3]
Submit
Validation data
Reference
Comment
Report error
- Product number
- AP22579PU-N - Provider product page

- Provider
- Acris Antibodies GmbH
- Proper citation
- Acris Antibodies GmbH Cat#AP22579PU-N, RRID:AB_10850080
- Product name
- anti Septin-2 (N-term)
- Antibody type
- Polyclonal
- Antigen
- Peptide from the N terminus of the protein sequence according to NP_001008491.1
- Reactivity
- Human, Mouse, Rat, Bovine
- Host
- Goat
- Vial size
- 50 µg
- Concentration
- 0.5 mg/ml
No comments: Submit comment
Supportive validation
- Submitted by
- Acris Antibodies GmbH (provider)
- Main image

- Experimental details
- Antibody (0.05 µg/ml) staining of Human Testis lysate (35 µg protein in RIPA buffer). Primary incubation was 1 hour. Detected by chemiluminescence
Supportive validation
- Submitted by
- Acris Antibodies GmbH (provider)
- Main image

- Experimental details
- Human Brain, Cortex (formalin-fixed, paraffin-embedded) stained with SEPT2 antibody AP22579PU-N followed by biotinylated anti-goat IgG secondary antibody, alkaline phosphatase-streptavidin and chromogen.
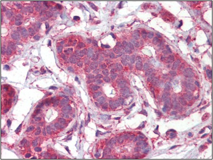
- Submitted by
- Acris Antibodies GmbH (provider)
- Main image

- Experimental details
- Human Breast (formalin-fixed, paraffin-embedded) stained with SEPT2 antibody AP22579PU-N followed by biotinylated anti-goat IgG secondary antibody, alkaline phosphatase-streptavidin and chromogen.
- Submitted by
- Acris Antibodies GmbH (provider)
- Main image

- Experimental details
- Human Tonsil (formalin-fixed, paraffin-embedded) stained with SEPT2 antibody AP22579PU-N followed by biotinylated anti-goat IgG secondary antibody, alkaline phosphatase-streptavidin and chromogen.