Antibody data
- Antibody Data
- Antigen structure
- References [0]
- Comments [0]
- Validations
- Immunohistochemistry [1]
Submit
Validation data
Reference
Comment
Report error
- Product number
- AP00395PU-N - Provider product page

- Provider
- Acris Antibodies GmbH
- Proper citation
- Acris Antibodies GmbH Cat#AP00395PU-N, RRID:AB_10756612
- Product name
- anti TMEM5 (Extracell. Dom.)
- Antibody type
- Polyclonal
- Antigen
- TMEM5 antibody was raised against synthetic peptide from Extracellular domain of human TMEM5.
- Reactivity
- Human
- Host
- Rabbit
- Vial size
- 50 µg
- Concentration
- 1,0 mg/ml
No comments: Submit comment
Supportive validation
- Submitted by
- Acris Antibodies GmbH (provider)
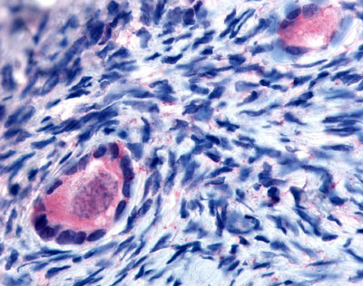
- Main image

- Experimental details
- Immunohistochemistry Image: Ovary, oocytes, stained with AP00395PU-N