Antibody data
- Antibody Data
- Antigen structure
- References [0]
- Comments [0]
- Validations
- Western blot [1]
- Immunohistochemistry [1]
Submit
Validation data
Reference
Comment
Report error
- Product number
- BS-0027R - Provider product page

- Provider
- Invitrogen Antibodies
- Product name
- Melatonin Receptor 1A Polyclonal Antibody
- Antibody type
- Polyclonal
- Antigen
- Synthetic peptide
- Reactivity
- Human, Mouse, Rat, Bovine
- Host
- Rabbit
- Isotype
- IgG
- Vial size
- 100 µL
- Concentration
- 1 mg/mL
- Storage
- -20°C
No comments: Submit comment
Supportive validation
- Submitted by
- Invitrogen Antibodies (provider)
- Main image

- Experimental details
- Lane 1: Cerebrum lysates probed with Melatonin Receptor 1A Antibody (bs-0027R) at 1:1000 dilution and 4°C overnight incubation. Followed by conjugated secondary antibody incubation at 1:20000 for 60 min at 37°C.
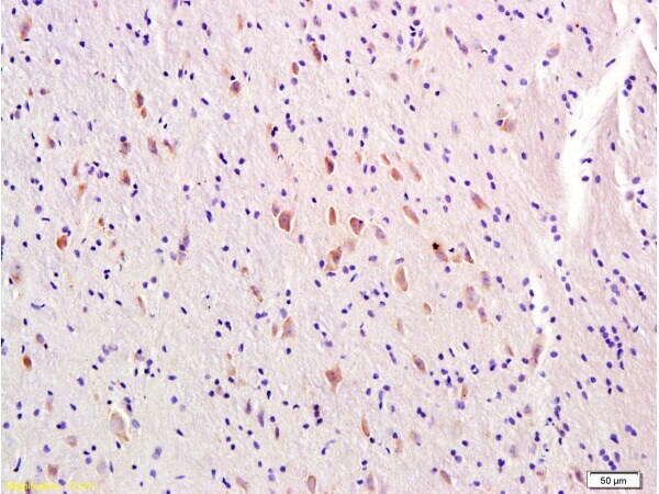
Supportive validation
- Submitted by
- Invitrogen Antibodies (provider)
- Main image

- Experimental details
- Formalin-fixed and paraffin-embedded rat brain labeled with Rabbit Anti-MTNR1A/MTR-1A/MEL-1A-R Polyclonal Antibody, Unconjugated (bs-0027R) at 1:300 followed by conjugation to the secondary antibody.