Antibody data
- Antibody Data
- Antigen structure
- References [0]
- Comments [0]
- Validations
- Western blot [1]
- Immunocytochemistry [1]
- Immunohistochemistry [1]
Submit
Validation data
Reference
Comment
Report error
- Product number
- AM06523SU-N - Provider product page

- Provider
- OriGene
- Product name
- WIF1 mouse monoclonal antibody, clone 1G5, Ascites
- Antibody type
- Monoclonal
- Description
- WIF1 mouse monoclonal antibody, clone 1G5, Ascites
- Host
- Mouse
- Conjugate
- Unconjugated
- Epitope
- WIF1
- Isotype
- IgG
- Antibody clone number
- 1G5
- Vial size
- 100 µl
No comments: Submit comment
Supportive validation
- Submitted by
- OriGene (provider)
- Main image

- Experimental details
- Western blot analysis using WIF1 antibody Cat.-No AM06523SU-N against Hela (1), NIH/3T3 (2) and NTERA-2 (3) cell lysate.
- Validation comment
- WB
Supportive validation
- Submitted by
- OriGene (provider)
- Main image

- Experimental details
- Immunofluorescence analysis of Hela cells using WIF1 antibody Cat.-No AM06523SU-N (green). Red: Actin filaments have been labeled with Alexa Fluor-555 phalloidin.
- Validation comment
- IF
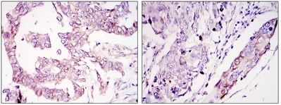
Supportive validation
- Submitted by
- OriGene (provider)
- Main image

- Experimental details
- Immunohistochemical analysis of paraffin-embedded ovary tumour tissues (left) and lung cancer (right) using WIF1 antibody Cat.-No AM06523SU-N with DAB staining.
- Validation comment
- IHC