Antibody data
- Antibody Data
- Antigen structure
- References [0]
- Comments [0]
- Validations
- Western blot [1]
- Immunohistochemistry [2]
Submit
Validation data
Reference
Comment
Report error
- Product number
- STJ98450 - Provider product page

- Provider
- St John's Laboratory
- Product name
- Anti-WIF1 antibody [1G5] (STJ98450)
- Antibody type
- Monoclonal
- Description
- Mouse monoclonal antibody anti-Wnt Inhibitory Factor 1 is suitable for use in Western Blot, Immunohistochemistry, Immunofluorescence, Immunocytochemistry and ELISA research applications.
- Reactivity
- Human
- Host
- Mouse
- Conjugate
- Unconjugated
- Antigen sequence
NA- Epitope
- NA
- Isotype
- IgG
- Antibody clone number
- NA
- Vial size
- NA
- Concentration
- NA
- Storage
- Store at-20°C for up to 1 year from the date of receipt, and avoid repeat freeze-thaw cycles.
- Handling
- NA
No comments: Submit comment
Supportive validation
- Submitted by
- St John's Laboratory (provider)
- Main image

- Experimental details
- Western blot analysis using WIF-1 monoclonal antibody against HeLa (1) , NIH/3T3 (2) and NTERA-2 (3) cell lysate.
- Sample type
- NA
- Validation comment
- NA
- Primary Ab dilution
- NA
- Other comments
- NA
- Secondary Ab
- NA
- Secondary Ab dilution
- NA
- Protocol
- NA
Supportive validation
Supportive validation
- Submitted by
- St John's Laboratory (provider)
- Main image

- Experimental details
- Immunofluorescence analysis of Hela cells using WIF-1 monoclonal antibody (green). Red: Actin filaments have been labeled with Alexa Fluor-555 phalloidin.
- Sample type
- NA
- Validation comment
- NA
- Primary Ab dilution
- NA
- Other comments
- NA
- Secondary Ab
- NA
- Secondary Ab dilution
- NA
- Protocol
- NA
Supportive validation
- Submitted by
- St John's Laboratory (provider)
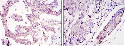
- Main image

- Experimental details
- Immunohistochemistry analysis of paraffin-embedded ovary tumour tissues (left) and lung cancer (right) with DAB staining using WIF-1 monoclonal antibody.
- Sample type
- NA
- Validation comment
- NA
- Primary Ab dilution
- NA
- Other comments
- NA
- Secondary Ab
- NA
- Secondary Ab dilution
- NA
- Protocol
- NA