Antibody data
- Antibody Data
- Antigen structure
- References [0]
- Comments [0]
- Validations
- Western blot [1]
- Immunohistochemistry [1]
Submit
Validation data
Reference
Comment
Report error
- Product number
- ARP36965_T100 - Provider product page

- Provider
- Aviva Systems Biology
- Proper citation
- Aviva Systems Biology Cat#ARP36965_T100, RRID:AB_841937
- Product name
- PTRF antibody - middle region (ARP36965_T100)
- Antibody type
- Polyclonal
- Antigen
- The immunogen is a synthetic peptide directed towards the middle region of mouse PTRF
- Description
- Protein A purified
- Reactivity
- Human, Mouse, Rat, Bovine, Canine, Horse, Rabbit
- Host
- Rabbit
- Vial size
- 100 μl
- Concentration
- Liquid. Purified antibody supplied in 1x PBS buffer with 0.09% (w/v) sodium azide and 2% sucrose.
- Storage
- For short term use, store at 2-8C up to 1 week. For long term storage, store at -20C in small aliquots to prevent freeze-thaw cycles.
No comments: Submit comment
Supportive validation
- Submitted by
- Aviva Systems Biology (provider)
- Main image

- Experimental details
- Lanes: Lane 1: 50µg mouse embryonic fibroblast lysateLane 2: 50µg mouse PTRF-KO embryonic fibroblast lysateLane 3: 50µg mouse PTRF-KO embryonic fibroblast lysate+FLAG-PTRF proteinPrimary Antibody Dilution: 1:1000 Secondary Antibody: Donkey anti-Rabbit-HRP Secondary Antibody Dilution: 1:10000Gene Name: PTRFSubmitted by: Libin Liu, Boston University.
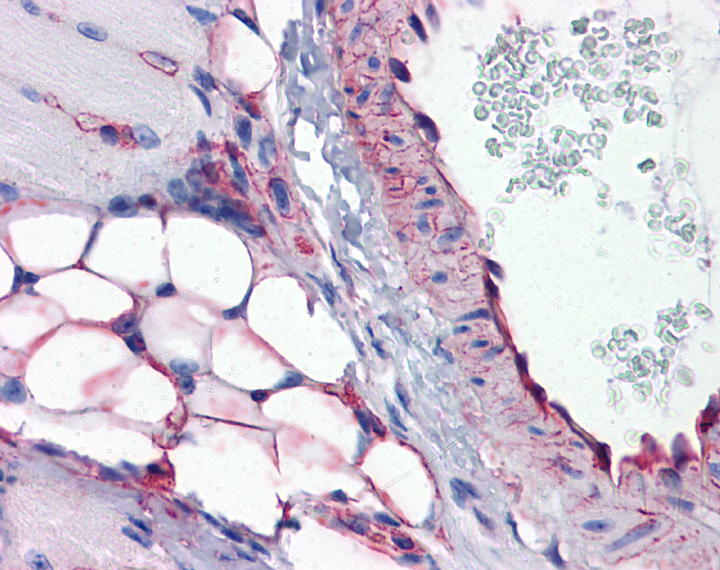
Supportive validation
- Submitted by
- Aviva Systems Biology (provider)
- Main image

- Experimental details
- IHC Information: Paraffin embedded mouse vessel and adipocytes (skeletal muscle) tissue, tested with an antibody Dilution of 5 ug/ml.