Antibody data
- Antibody Data
- Antigen structure
- References [0]
- Comments [0]
- Validations
- Immunohistochemistry [5]
Submit
Validation data
Reference
Comment
Report error
- Product number
- PA5-53359 - Provider product page

- Provider
- Invitrogen Antibodies
- Product name
- RTN3 Polyclonal Antibody
- Antibody type
- Polyclonal
- Antigen
- Recombinant protein fragment
- Description
- Immunogen sequence: VPQVKQQTDK SSDCITKTTG LDMSEYNSEI PVVNLKTSTH QKTPVCSIDG STPITKSTGD WAEASLQQEN AITGKPVPDS LNSTKEFSIK GVQGNMQKQD DTLAELPGSP PEKCDSLGSG VATVKVVLPD DHLKDEMDW Highest antigen sequence identity to the following orthologs: Mouse - 55%, Rat - 48%.
- Reactivity
- Human
- Host
- Rabbit
- Isotype
- IgG
- Vial size
- 100 μL
- Concentration
- 0.3 mg/mL
- Storage
- Store at 4°C short term. For long term storage, store at -20°C, avoiding freeze/thaw cycles.
No comments: Submit comment
Supportive validation
- Submitted by
- Invitrogen Antibodies (provider)
- Main image

- Experimental details
- Immunohistochemical staining of RTN3 in human cerebral cortex, colon, liver and lymph node using RTN3 Polyclonal Antibody (Product # PA5-53359) (A) shows similar protein distribution across tissues to an independent RTN3 Polyclonal Antibody (B).
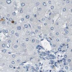
- Submitted by
- Invitrogen Antibodies (provider)
- Main image

- Experimental details
- Immunohistochemical staining of RTN3 in human liver using RTN3 Polyclonal Antibody (Product # PA5-53359).
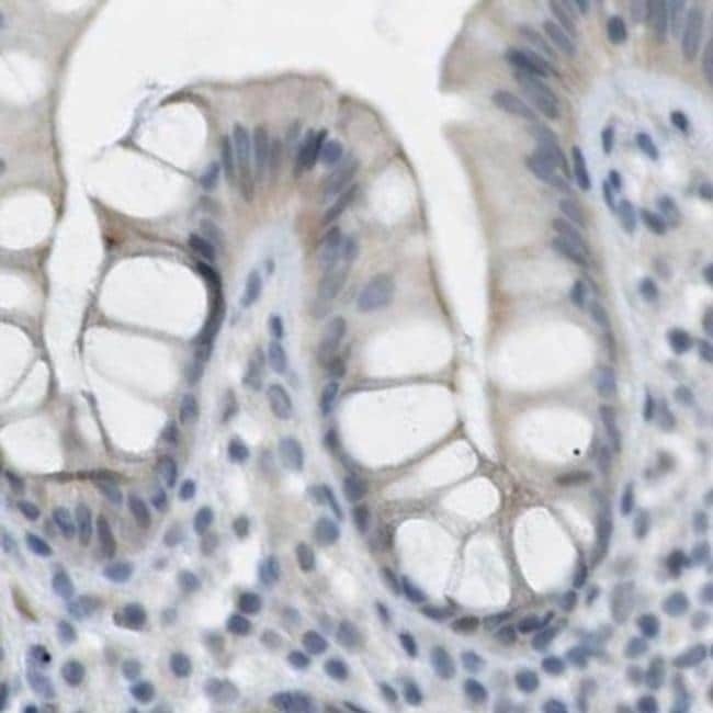
- Submitted by
- Invitrogen Antibodies (provider)
- Main image

- Experimental details
- Immunohistochemical staining of RTN3 in human colon using RTN3 Polyclonal Antibody (Product # PA5-53359).
- Submitted by
- Invitrogen Antibodies (provider)
- Main image

- Experimental details
- Immunohistochemical staining of RTN3 in human lymph node using RTN3 Polyclonal Antibody (Product # PA5-53359).
- Submitted by
- Invitrogen Antibodies (provider)
- Main image

- Experimental details
- Immunohistochemical staining of RTN3 in human cerebral cortex using RTN3 Polyclonal Antibody (Product # PA5-53359).