Antibody data
- Antibody Data
- Antigen structure
- References [0]
- Comments [0]
- Validations
- Immunohistochemistry [2]
Submit
Validation data
Reference
Comment
Report error
- Product number
- NBP1-47353 - Provider product page

- Provider
- Novus Biologicals
- Proper citation
- Novus Cat#NBP1-47353, RRID:AB_10010307
- Product name
- Mouse Monoclonal RTN3 Antibody
- Antibody type
- Monoclonal
- Description
- Unpurified.
- Reactivity
- Human
- Host
- Mouse
- Isotype
- IgG
- Vial size
- 0.1 ml
- Storage
- Store at 4C short term. Aliquot and store at -20C long term. Avoid freeze-thaw cycles.
No comments: Submit comment
Supportive validation
- Submitted by
- Novus Biologicals (provider)
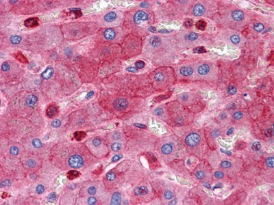
- Main image

- Experimental details
- Immunohistochemistry-Paraffin: RTN3 Antibody (10A8) [NBP1-47353] - Immunohistochemical analysis of paraffin-embedded human Liver tissues using RTN3 mouse mAb
- Submitted by
- Novus Biologicals (provider)
- Main image

- Experimental details
- Immunohistochemistry: RTN3 Antibody (10A8) [NBP1-47353] - Immunohistochemical analysis of paraffin-embedded human lung cancer (left) and breast cancer (right) using anti-RTN3 antibody with DAB staining.