Antibody data
- Antibody Data
- Antigen structure
- References [3]
- Comments [0]
- Validations
- Western blot [1]
- Immunocytochemistry [1]
- Immunohistochemistry [2]
Submit
Validation data
Reference
Comment
Report error
- Product number
- 22673-1-AP - Provider product page

- Provider
- Proteintech Group
- Proper citation
- Proteintech Cat#22673-1-AP, RRID:AB_11182712
- Product name
- STARS/ABRA antibody
- Antibody type
- Polyclonal
- Description
- STARS/ABRA antibody (Cat. #22673-1-AP) is a rabbit polyclonal antibody that shows reactivity with human, mouse and has been validated for the following applications: IF, IHC, WB,ELISA.
- Reactivity
- Human, Mouse
- Host
- Rabbit
- Conjugate
- Unconjugated
- Isotype
- IgG
- Vial size
- 20ul, 150ul
Submitted references Different Mouse Models of Nemaline Myopathy Harboring Acta1 Mutations Display Differing Abnormalities Related to Mitochondrial Biology.
Changes in mRNA and miRNA expression in the prelimbic cortex related to depression-like syndrome induced by chronic social defeat stress in mice.
HAND2-mediated epithelial maintenance and integrity in cardiac outflow tract morphogenesis.
Tinklenberg JA, Slick RA, Sutton J, Zhang L, Meng H, Beatka MJ, Vanden Avond M, Prom MJ, Ott E, Montanaro F, Heisner J, Toro R, Hardeman EC, Geurts AM, Stowe DF, Hill RB, Lawlor MW
The American journal of pathology 2023 Oct;193(10):1548-1567
The American journal of pathology 2023 Oct;193(10):1548-1567
Changes in mRNA and miRNA expression in the prelimbic cortex related to depression-like syndrome induced by chronic social defeat stress in mice.
Chen Y, Yao SY, Shu X, Wang YJ, Liu JG
Behavioural brain research 2023 Feb 13;438:114211
Behavioural brain research 2023 Feb 13;438:114211
HAND2-mediated epithelial maintenance and integrity in cardiac outflow tract morphogenesis.
Xia M, Luo W, Jin H, Yang Z
Development (Cambridge, England) 2019 Jul 4;146(13)
Development (Cambridge, England) 2019 Jul 4;146(13)
No comments: Submit comment
Supportive validation
- Submitted by
- Proteintech Group (provider)
- Main image

- Experimental details
- mouse heart tissue were subjected to SDS PAGE followed by western blot with 22673-1-AP(ABRA antibody) at dilution of 1:500
- Sample type
- tissue
Supportive validation
- Submitted by
- Proteintech Group (provider)
- Main image

- Experimental details
- The STARS/ABRA antibody from Proteintech is a rabbit polyclonal antibody to a fusion protein of human STARS/ABRA. This antibody recognizes human, mouse antigen. The STARS/ABRA antibody has been validated for the following applications: ELISA, WB, IF, IHC analysis.
Supportive validation
- Submitted by
- Proteintech Group (provider)
- Main image

- Experimental details
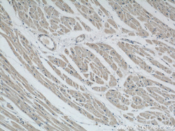
- Immunohistochemical of paraffin-embedded human heart using 22673-1-AP(ABRA antibody) at dilution of 1:50 (under 10x lens)
- Sample type
- tissue
- Submitted by
- Proteintech Group (provider)
- Main image

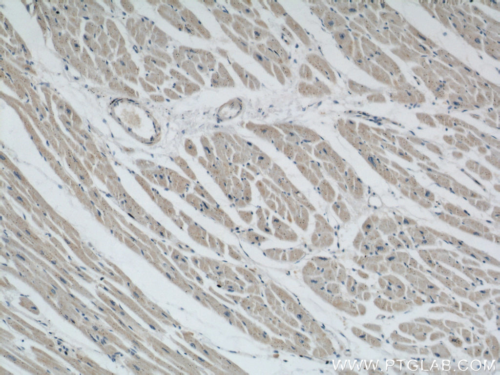
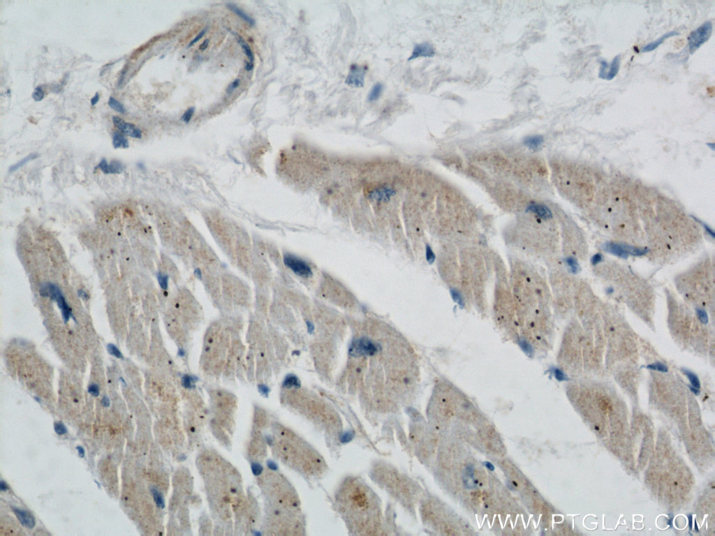
- Experimental details
- Immunohistochemical of paraffin-embedded human heart using 22673-1-AP(ABRA antibody) at dilution of 1:50 (under 40x lens)
- Sample type
- tissue