Antibody data
- Antibody Data
- Antigen structure
- References [0]
- Comments [0]
- Validations
- Western blot [1]
- Immunohistochemistry [1]
Submit
Validation data
Reference
Comment
Report error
- Product number
- AP50033PU-N - Provider product page

- Provider
- Acris Antibodies GmbH
- Proper citation
- Acris Antibodies GmbH Cat#AP50033PU-N, RRID:AB_11147382
- Product name
- anti ABRA / STARS (C-term)
- Antibody type
- Polyclonal
- Antigen
- KLH conjugated synthetic peptide between 282-312 amino acids from the C-terminal region of human ABRA
- Reactivity
- Human
- Host
- Rabbit
- Vial size
- 0.4 ml
- Concentration
- lot specific
No comments: Submit comment
Supportive validation
- Submitted by
- Acris Antibodies GmbH (provider)
- Main image

- Experimental details
- ABRA Antibody (C-term) (Cat. #AP50033PU-N) western blot analysis in human normal Uterus cell line lysates (35ug/lane).This demonstrates the ABRA antibody detected the ABRA protein (arrow).
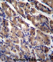
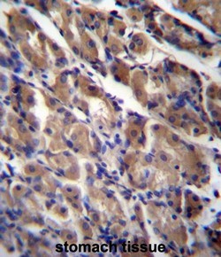
Supportive validation
- Submitted by
- Acris Antibodies GmbH (provider)
- Main image

- Experimental details
- ABRA Antibody (C-term) (Cat. #AP50033PU-N)immunohistochemistry analysis in formalin fixed and paraffin embedded human stomach tissue followed by peroxidase conjugation of the secondary antibody and DAB staining.This data demonstrates the use of ABRA Antibody (C-term) for immunohistochemistry. Clinical relevance has not been evaluated.