Antibody data
- Antibody Data
- Antigen structure
- References [5]
- Comments [0]
- Validations
- Western blot [1]
- Immunohistochemistry [1]
Submit
Validation data
Reference
Comment
Report error
- Product number
- ABIN950219 - Provider product page

- Provider
- antibodies-online
- Product name
- anti-Actin-Binding rho Activating Protein (ABRA) (AA 282-312), (C-Term) antibody
- Antibody type
- Polyclonal
- Description
- Affinity chromatography on Protein A
- Reactivity
- Human
- Host
- Rabbit
- Epitope
- C-Term, AA 282-312
- Vial size
- 0.4 mL
- Storage
- Store the antibody undiluted at 2-8°C for one month or (in aliquots) at -20°C for longer.
- Handling
- Avoid repeated freezing and thawing.
Submitted references Regulation of STARS and its downstream targets suggest a novel pathway involved in human skeletal muscle hypertrophy and atrophy.
Modulation of adverse cardiac remodeling by STARS, a mediator of MEF2 signaling and SRF activity.
Muscle-specific signaling mechanism that links actin dynamics to serum response factor.
STARS, a striated muscle activator of Rho signaling and serum response factor-dependent transcription.
Systematic subcellular localization of novel proteins identified by large-scale cDNA sequencing.
Lamon S, Wallace MA, Léger B, Russell AP
The Journal of physiology 2009 Apr 15;587(Pt 8):1795-803
The Journal of physiology 2009 Apr 15;587(Pt 8):1795-803
Modulation of adverse cardiac remodeling by STARS, a mediator of MEF2 signaling and SRF activity.
Kuwahara K, Teg Pipes GC, McAnally J, Richardson JA, Hill JA, Bassel-Duby R, Olson EN
The Journal of clinical investigation 2007 May;117(5):1324-34
The Journal of clinical investigation 2007 May;117(5):1324-34
Muscle-specific signaling mechanism that links actin dynamics to serum response factor.
Kuwahara K, Barrientos T, Pipes GC, Li S, Olson EN
Molecular and cellular biology 2005 Apr;25(8):3173-81
Molecular and cellular biology 2005 Apr;25(8):3173-81
STARS, a striated muscle activator of Rho signaling and serum response factor-dependent transcription.
Arai A, Spencer JA, Olson EN
The Journal of biological chemistry 2002 Jul 5;277(27):24453-9
The Journal of biological chemistry 2002 Jul 5;277(27):24453-9
Systematic subcellular localization of novel proteins identified by large-scale cDNA sequencing.
Simpson JC, Wellenreuther R, Poustka A, Pepperkok R, Wiemann S
EMBO reports 2000 Sep;1(3):287-92
EMBO reports 2000 Sep;1(3):287-92
No comments: Submit comment
Supportive validation
- Submitted by
- antibodies-online (provider)
- Main image

- Experimental details
- WB
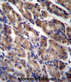
Supportive validation
- Submitted by
- antibodies-online (provider)
- Main image

- Experimental details
- IHC