Antibody data
- Antibody Data
- Antigen structure
- References [1]
- Comments [0]
- Validations
- Immunohistochemistry [1]
Submit
Validation data
Reference
Comment
Report error
- Product number
- DP145 - Provider product page

- Provider
- Acris Antibodies GmbH
- Proper citation
- Acris Antibodies GmbH Cat#DP145, RRID:AB_1006199
- Product name
- anti PDGFB (101-116)
- Antibody type
- Polyclonal
- Antigen
- A synthetic peptide derived from amino acids 101-116 of the Human PDGF beta chain.
- Reactivity
- Human, Rat
- Host
- Rabbit
- Vial size
- 1 ml
Submitted references Orbit-infiltrating mast cells, monocytes, and macrophages produce PDGF isoforms that orchestrate orbital fibroblast activation in Graves' ophthalmopathy.
van Steensel L, Paridaens D, van Meurs M, van Hagen PM, van den Bosch WA, Kuijpers RW, Drexhage HA, Hooijkaas H, Dik WA
The Journal of clinical endocrinology and metabolism 2012 Mar;97(3):E400-8
The Journal of clinical endocrinology and metabolism 2012 Mar;97(3):E400-8
No comments: Submit comment
Supportive validation
- Submitted by
- Acris Antibodies GmbH (provider)
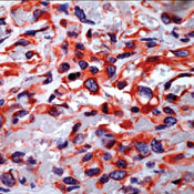
- Main image

- Experimental details
- Figure 1. Formalin-fixed, paraffin-embedded human angiosarcoma stained with PDGF antibody (Cat. DP145) using peroxidase-conjugate and AEC. Note cytoplasmic staining of tumor cells.