GTX109647
antibody from GeneTex
Targeting: CCR6
BN-1, CD196, CKR-L3, CMKBR6, DCR2, DRY-6, GPR-CY4, GPR29, STRL22
Antibody data
- Antibody Data
- Antigen structure
- References [1]
- Comments [0]
- Validations
- Western blot [1]
- Immunohistochemistry [2]
Submit
Validation data
Reference
Comment
Report error
- Product number
- GTX109647 - Provider product page

- Provider
- GeneTex
- Proper citation
- GeneTex Cat#GTX109647, RRID:AB_1949901
- Product name
- CCR6 antibody [N1N2], N-term
- Antibody type
- Polyclonal
- Reactivity
- Human
- Host
- Rabbit
Submitted references Transgelin-2 is upregulated on activated B-cells and expressed in hyperplastic follicles in lupus erythematosus patients.
Kiso K, Yoshifuji H, Oku T, Hikida M, Kitagori K, Hirayama Y, Nakajima T, Haga H, Tsuruyama T, Miyagawa-Hayashino A
PloS one 2017;12(9):e0184738
PloS one 2017;12(9):e0184738
No comments: Submit comment
Supportive validation
- Submitted by
- GeneTex (provider)
- Main image

- Experimental details
- Sample (30 ?g of whole cell lysate)A: HepG2 (GTX27900)B: Molt-4 (GTX27912)C: Raji12% SDS PAGEGTX109647 diluted at 1:1000The HRP-conjugated anti-rabbit IgG antibody (GTX213110-01) was used to detect the primary antibody.
Supportive validation
- Submitted by
- GeneTex (provider)
- Main image

- Experimental details
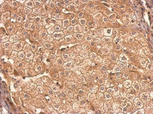
- CCR6 antibody [N1N2], N-term detects CCR6 protein at membrane on human hepatoma by immunohistochemical analysis. Sample: Paraffin-embedded hepatoma. CCR6 antibody [N1N2], N-term (GTX109647) dilution: 1:1000.
- Submitted by
- GeneTex (provider)
- Main image

- Experimental details
- Immunohistochemical analysis of paraffin-embedded DU-145 xenograft, using CCR6(GTX109647) antibody at 1:100 dilution.