NB100-713
antibody from Novus Biologicals
Targeting: CCR6
BN-1, CD196, CKR-L3, CMKBR6, DCR2, DRY-6, GPR-CY4, GPR29, STRL22
Antibody data
- Antibody Data
- Antigen structure
- References [1]
- Comments [0]
- Validations
- Immunohistochemistry [2]
Submit
Validation data
Reference
Comment
Report error
- Product number
- NB100-713 - Provider product page

- Provider
- Novus Biologicals
- Proper citation
- Novus Cat#NB100-713, RRID:AB_2072796
- Product name
- Goat Polyclonal CCR6 Antibody
- Antibody type
- Polyclonal
- Description
- Immunogen affinity purified.
- Reactivity
- Human, Mouse
- Host
- Goat
- Isotype
- IgG
- Vial size
- 0.1 mg
- Concentration
- 1.0 mg/ml
- Storage
- Store at -20C. Avoid freeze-thaw cycles.
Submitted references CD44 Assists the Topical Anti-Psoriatic Efficacy of Curcumin-Loaded Hyaluronan-Modified Ethosomes: A New Strategy for Clustering Drug in Inflammatory Skin.
Zhang Y, Xia Q, Li Y, He Z, Li Z, Guo T, Wu Z, Feng N
Theranostics 2019;9(1):48-64
Theranostics 2019;9(1):48-64
No comments: Submit comment
Supportive validation
- Submitted by
- Novus Biologicals (provider)
- Main image

- Experimental details
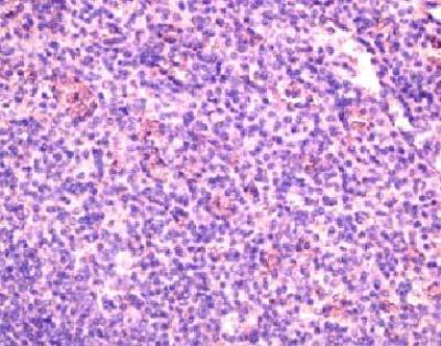
- Immunohistochemistry: CCR6 Antibody [NB100-713] - Immunohistochemistry on paraffin section of mouse spleen
- Submitted by
- Novus Biologicals (provider)
- Main image

- Experimental details
- Immunohistochemistry: CCR6 Antibody [NB100-713] - Immunohistochemistry on paraffin section of human spleen