Antibody data
- Antibody Data
- Antigen structure
- References [5]
- Comments [0]
- Validations
- Western blot [1]
- Immunocytochemistry [1]
- Immunohistochemistry [2]
Submit
Validation data
Reference
Comment
Report error
- Product number
- 17368-1-AP - Provider product page

- Provider
- Proteintech Group
- Proper citation
- Proteintech Cat#17368-1-AP, RRID:AB_2193724
- Product name
- SNRPA1 antibody
- Antibody type
- Polyclonal
- Description
- SNRPA1 antibody (Cat. #17368-1-AP) is a rabbit polyclonal antibody that shows reactivity with human and has been validated for the following applications: IF, IHC, IP, WB,ELISA.
- Reactivity
- Human
- Host
- Rabbit
- Conjugate
- Unconjugated
- Isotype
- IgG
- Vial size
- 20ul, 150ul
Submitted references High SNRPA1 expression leads to poor prognosis in patients with lung adenocarcinoma.
Protocol for proteogenomic dissection of intronic splicing enhancer interactome for prediction of individualized cancer prognosis.
Inactivation of the tumor suppressor p53 by long noncoding RNA RMRP.
Novel RNA-Affinity Proteogenomics Dissects Tumor Heterogeneity for Revealing Personalized Markers in Precision Prognosis of Cancer.
SF3B1 association with chromatin determines splicing outcomes.
Yang JJ, Yang YJ, Gu YL, Tong L, Liu YF, Zhang JG
The clinical respiratory journal 2023 Aug;17(8):719-732
The clinical respiratory journal 2023 Aug;17(8):719-732
Protocol for proteogenomic dissection of intronic splicing enhancer interactome for prediction of individualized cancer prognosis.
Wang L, Wrobel JA, Xie L, Chen X
STAR protocols 2021 Mar 19;2(1):100338
STAR protocols 2021 Mar 19;2(1):100338
Inactivation of the tumor suppressor p53 by long noncoding RNA RMRP.
Chen Y, Hao Q, Wang S, Cao M, Huang Y, Weng X, Wang J, Zhang Z, He X, Lu H, Zhou X
Proceedings of the National Academy of Sciences of the United States of America 2021 Jul 20;118(29)
Proceedings of the National Academy of Sciences of the United States of America 2021 Jul 20;118(29)
Novel RNA-Affinity Proteogenomics Dissects Tumor Heterogeneity for Revealing Personalized Markers in Precision Prognosis of Cancer.
Wang L, Wrobel JA, Xie L, Li D, Zurlo G, Shen H, Yang P, Wang Z, Peng Y, Gunawardena HP, Zhang Q, Chen X
Cell chemical biology 2018 May 17;25(5):619-633.e5
Cell chemical biology 2018 May 17;25(5):619-633.e5
SF3B1 association with chromatin determines splicing outcomes.
Kfir N, Lev-Maor G, Glaich O, Alajem A, Datta A, Sze SK, Meshorer E, Ast G
Cell reports 2015 Apr 28;11(4):618-29
Cell reports 2015 Apr 28;11(4):618-29
No comments: Submit comment
Supportive validation
- Submitted by
- Proteintech Group (provider)
- Main image

- Experimental details
- HeLa cells were subjected to SDS PAGE followed by western blot with 17368-1-AP(SNRPA1 antibody) at dilution of 1:500
- Sample type
- cell line
Supportive validation
- Submitted by
- Proteintech Group (provider)
- Main image

- Experimental details
- Immunofluorescent analysis of HepG2 cells, using SNRPA1 antibody 17368-1-AP at 1:25 dilution and Rhodamine-labeled goat anti-rabbit IgG (red).
- Sample type
- cell line
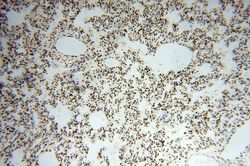
Supportive validation
- Submitted by
- Proteintech Group (provider)
- Main image

- Experimental details
- Immunohistochemical of paraffin-embedded human lung using 17368-1-AP(SNRPA1 antibody) at dilution of 1:100 (under 10x lens)
- Sample type
- tissue
- Submitted by
- Proteintech Group (provider)
- Main image

- Experimental details
- Immunohistochemical of paraffin-embedded human lung using 17368-1-AP(SNRPA1 antibody) at dilution of 1:100 (under 40x lens)
- Sample type
- tissue