Antibody data
- Antibody Data
- Antigen structure
- References [0]
- Comments [0]
- Validations
- Western blot [7]
- Immunocytochemistry [1]
- Immunohistochemistry [4]
- Other assay [1]
Submit
Validation data
Reference
Comment
Report error
- Product number
- 15549-1-AP - Provider product page

- Provider
- Invitrogen Antibodies
- Product name
- PRPS1 Polyclonal Antibody
- Antibody type
- Polyclonal
- Antigen
- Other
- Reactivity
- Human, Mouse, Rat
- Host
- Rabbit
- Isotype
- IgG
- Vial size
- 150 µL
- Concentration
- 0.23 mg/mL
- Storage
- -20°C
No comments: Submit comment
Supportive validation
- Submitted by
- Invitrogen Antibodies (provider)
- Main image

- Experimental details
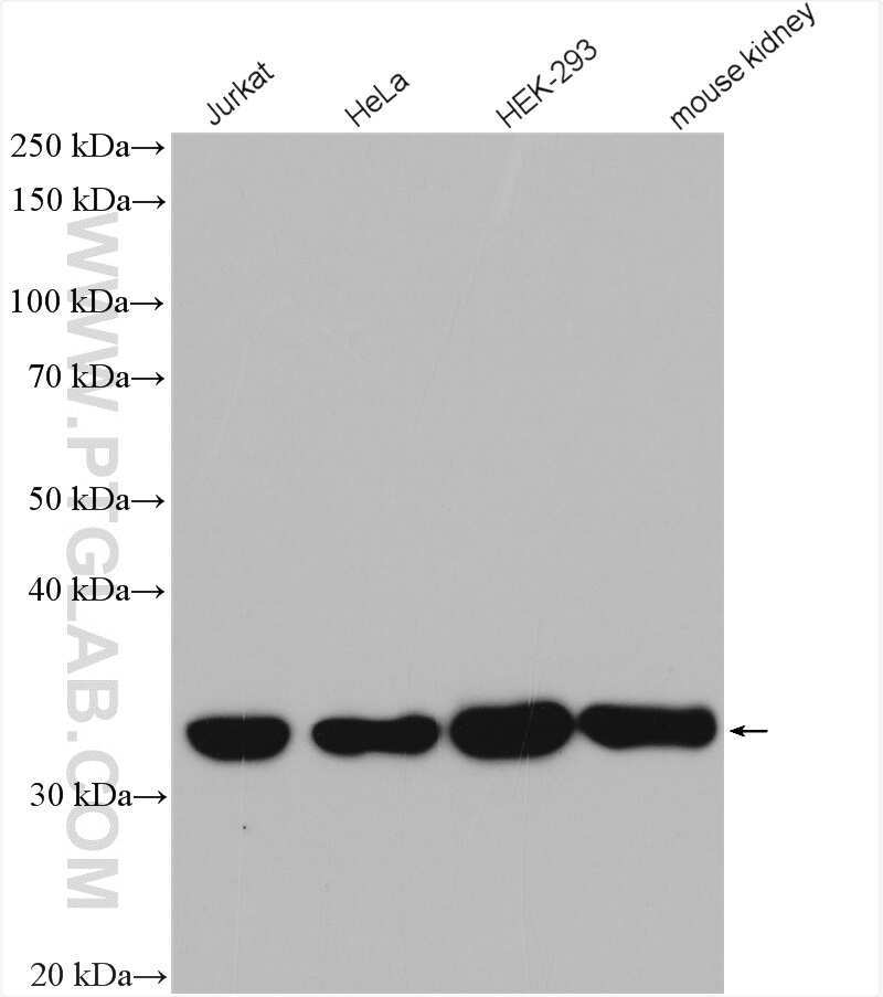
- Various lysates were subjected to SDS PAGE followed by western blot with 15549-1-AP (PRPS1 antibody) at dilution of 1:3000 incubated at room temperature for 1.5 hours.
- Submitted by
- Invitrogen Antibodies (provider)
- Main image

- Experimental details
- Rat spleen tissue were subjected to SDS PAGE followed by western blot with 15549-1-AP (PRPS1 Antibody) at dilution of 1:100 incubated at room temperature for 1.5 hours.
- Submitted by
- Invitrogen Antibodies (provider)
- Main image

- Experimental details
- Jurkat cells were subjected to SDS PAGE followed by western blot with 15549-1-AP (PRPS1 antibody) at dilution of 1:1000 incubated at room temperature for 1.5 hours.
- Submitted by
- Invitrogen Antibodies (provider)
- Main image

- Experimental details
- Jurkat cells were subjected to SDS PAGE followed by western blot with 15549-1-AP (PRPS1 antibody) at dilution of 1:100 incubated at room temperature for 1.5 hours.
- Submitted by
- Invitrogen Antibodies (provider)
- Main image

- Experimental details
- Mouse spleen tissue were subjected to SDS PAGE followed by western blot with 15549-1-AP (PRPS1 antibody) at dilution of 1:100 incubated at room temperature for 1.5 hours.
- Submitted by
- Invitrogen Antibodies (provider)
- Main image

- Experimental details
- Mouse spleen tissue were subjected to SDS PAGE followed by western blot with 15549-1-AP (PRPS1 antibody) at dilution of 1:400 incubated at room temperature for 1.5 hours.
- Submitted by
- Invitrogen Antibodies (provider)
- Main image

- Experimental details
- Various lysates were subjected to SDS PAGE followed by western blot with 15549-1-AP (PRPS1 antibody) at dilution of 1:3000 incubated at room temperature for 1.5 hours.
Supportive validation
- Submitted by
- Invitrogen Antibodies (provider)
- Main image

- Experimental details
- Immunofluorescent analysis of HepG2 cells, using PRPS1 antibody 15549-1-AP at 1:25 dilution and Rhodamine-labeled goat anti-rabbit IGG (red).
Supportive validation
- Submitted by
- Invitrogen Antibodies (provider)
- Main image

- Experimental details
- Immunohistochemistry of paraffin-embedded human spleen using 15549-1-AP (PRPS1 antibody) at dilution of 1:50 (under 10x lens).
- Submitted by
- Invitrogen Antibodies (provider)
- Main image

- Experimental details
- Immunohistochemistry of paraffin-embedded human spleen using 15549-1-AP (PRPS1 antibody) at dilution of 1:50 (under 40x lens).
- Submitted by
- Invitrogen Antibodies (provider)
- Main image

- Experimental details
- Immunohistochemistry of paraffin-embedded human testis using 15549-1-AP (PRPS1 antibody) at dilution of 1:50 (under 10x lens).
- Submitted by
- Invitrogen Antibodies (provider)
- Main image

- Experimental details
- Immunohistochemistry of paraffin-embedded human testis using 15549-1-AP (PRPS1 antibody) at dilution of 1:50 (under 40x lens).
Supportive validation
- Submitted by
- Invitrogen Antibodies (provider)
- Main image

- Experimental details
- IP result of anti-PRPS1 (IP:15549-1-AP, 4ug; Detection:15549-1-AP 1:100) with HeLa cells lysate 2600ug.