Antibody data
- Antibody Data
- Antigen structure
- References [0]
- Comments [0]
- Validations
- Western blot [1]
- Immunohistochemistry [2]
- Protein array [1]
- Other assay [1]
Submit
Validation data
Reference
Comment
Report error
- Product number
- V3691 - Provider product page

- Provider
- NSJ Bioreagents
- Product name
- Cadherin 16 Antibody
- Antibody type
- Monoclonal
- Description
- This highly specific Cadherin 16 antibody is suitable for use in ELISA/Western blot/Immunohistochemistry applications with human samples.
- Reactivity
- Human
- Host
- Mouse
- Conjugate
- Unconjugated
- Antibody clone number
- CDH16/2125
- Vial size
- 20 ug (with BSA and sodium azide), 100 ug (with BSA and sodium azide), 100 ug (without BSA or sodium azide), 7 ml IHC only format (if applicable)
- Concentration
- 0.2 mg/ml, 1 mg/ml
- Storage
- Store the Cadherin 16 antibody at 2-8oC (with azide) or aliquot and store at -20oC or colder (without azide).
No comments: Submit comment
Supportive validation
- Submitted by
- NSJ Bioreagents (provider)
- Main image

- Experimental details
- Western blot testing of human kidney lysate with Cadherin 16 antibody (clone CDH16/2125). Expected molecular weight: 90~130 kDa.
Supportive validation
- Submitted by
- NSJ Bioreagents (provider)
- Main image

- Experimental details
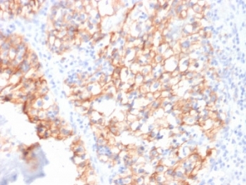
- IHC testing of FFPE human renal cell carcinoma with Cadherin 16 antibody (clone CDH16/2125). Required HIER: boil tissue sections in 10mM citrate buffer, pH6, for 10-20 min followed by cooling at RT for 20 min.
- Submitted by
- NSJ Bioreagents (provider)
- Main image

- Experimental details
- IHC testing of FFPE human renal cell carcinoma with Cadherin 16 antibody (clone CDH16/2125). HIER: boil tissue sections in pH 9 10mM Tris with 1mM EDTA for 20 min and allow to cool before testing.
Supportive validation
- Submitted by
- NSJ Bioreagents (provider)
- Main image

- Experimental details
- Analysis of HuProt(TM) microarray containing more than 19,000 full-length human proteins using CDH16 antibody. These results demonstrate the foremost specificity of the CDH16/2125 mAb. Z- and S- score: The Z-score represents the strength of a signal that an antibody (in combination with a fluorescently-tagged anti-IgG secondary Ab) produces when binding to a particular protein on the HuProt(TM) array. Z-scores are described in units of standard deviations (SD's) above the mean value of all signals generated on that array. If the targets on the HuProt(TM) are arranged in descending order of the Z-score, the S-score is the difference (also in units of SD's) between the Z-scores. The S-score therefore represents the relative target specificity of an Ab to its intended target.
Supportive validation
- Submitted by
- NSJ Bioreagents (provider)
- Main image

- Experimental details
- SDS-PAGE analysis of purified, BSA-free Cadherin 16 antibody (clone CDH16/2125) as confirmation of integrity and purity.