Antibody data
- Antibody Data
- Antigen structure
- References [0]
- Comments [0]
- Validations
- Western blot [2]
- Immunocytochemistry [2]
- Immunohistochemistry [4]
Submit
Validation data
Reference
Comment
Report error
- Product number
- PA5-57198 - Provider product page

- Provider
- Invitrogen Antibodies
- Product name
- DNAJC9 Polyclonal Antibody
- Antibody type
- Polyclonal
- Antigen
- Recombinant protein fragment
- Description
- Immunogen sequence: TVDEDSPVLT QDRDWEAYWR LLFKKISLED IQAFEKTYKG SEEELADIKQ AYLDFKGDMD QIMESVLCVQ YT Highest antigen sequence identity to the following orthologs: Mouse - 93%, Rat - 93%.
- Reactivity
- Human, Mouse
- Host
- Rabbit
- Isotype
- IgG
- Vial size
- 100 μL
- Concentration
- 0.6 mg/mL
- Storage
- Store at 4°C short term. For long term storage, store at -20°C, avoiding freeze/thaw cycles.
No comments: Submit comment
Supportive validation
- Submitted by
- Invitrogen Antibodies (provider)
- Main image

- Experimental details
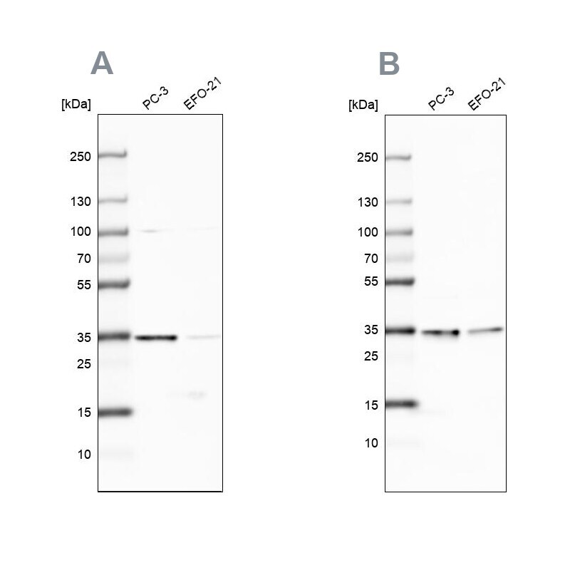
- Western blot analysis of DNAJC9 using DNAJC9 Polyclonal Antibody (Product # PA5-57198) (A) shows similar pattern to an independent DNAJC9 Polyclonal Antibody (B).
- Submitted by
- Invitrogen Antibodies (provider)
- Main image

- Experimental details
- Western blot analysis of DNAJC9 in mouse cell line NIH-3T3 and rat cell line NBT-II using a DNAJC9 Polyclonal Antibody (Product # PA5-57198).
Supportive validation
- Submitted by
- Invitrogen Antibodies (provider)
- Main image

- Experimental details
- Immunofluorescent staining of DNAJC9 in human cell line U-2 OS shows positivity in plasma membrane & nucleus but excluded from the nucleoli. Samples were probed using a DNAJC9 Polyclonal Antibody (Product # PA5-57198).
- Submitted by
- Invitrogen Antibodies (provider)
- Main image

- Experimental details
- Immunofluorecent analysis of DNAJC9 in human cell line U-2 OS using DNAJC9 Polyclonal Antibody (Product # PA5-57198). Staining shows localization to nucleoplasm and plasma membrane.
Supportive validation
- Submitted by
- Invitrogen Antibodies (provider)
- Main image

- Experimental details
- Immunohistochemical staining of DNAJC9 in human appendix using a DNAJC9 Polyclonal Antibody (Product # PA5-57198) shows strong cytoplasmic and nuclear positivity in glandular cells.
- Submitted by
- Invitrogen Antibodies (provider)
- Main image

- Experimental details
- Immunohistochemical analysis of DNAJC9 in human placenta using DNAJC9 Polyclonal Antibody (Product # PA5-57198) shows strong nuclear-cytoplasmic positivity in decidual cells and trophoblastic cells.
- Submitted by
- Invitrogen Antibodies (provider)
- Main image

- Experimental details
- Immunohistochemical analysis of DNAJC9 in human skin using DNAJC9 Polyclonal Antibody (Product # PA5-57198) shows strong nuclear positivity in squamous epithelial cells.
- Submitted by
- Invitrogen Antibodies (provider)
- Main image

- Experimental details
- Immunohistochemical analysis of DNAJC9 in human testis using DNAJC9 Polyclonal Antibody (Product # PA5-57198) shows strong nuclear positivity in cells in seminiferous ducts.