Antibody data
- Antibody Data
- Antigen structure
- References [0]
- Comments [0]
- Validations
- Western blot [1]
- Immunocytochemistry [2]
- Immunohistochemistry [1]
Submit
Validation data
Reference
Comment
Report error
- Product number
- PA5-57199 - Provider product page

- Provider
- Invitrogen Antibodies
- Product name
- DNAJC9 Polyclonal Antibody
- Antibody type
- Polyclonal
- Antigen
- Recombinant protein fragment
- Description
- Immunogen sequence: EPRIRNIIQQ AIDAGEVPSY NAFVKESKQK MNARKRRAQE EAKEAEMSRK ELGLDEGVDS LKAAIQSRQK DRQKEMDNFL AQMEAKYCKS Highest antigen sequence identity to the following orthologs: Mouse - 86%, Rat - 91%.
- Reactivity
- Human
- Host
- Rabbit
- Isotype
- IgG
- Vial size
- 100 μL
- Concentration
- 0.4 mg/mL
- Storage
- Store at 4°C short term. For long term storage, store at -20°C, avoiding freeze/thaw cycles.
No comments: Submit comment
Supportive validation
- Submitted by
- Invitrogen Antibodies (provider)
- Main image

- Experimental details
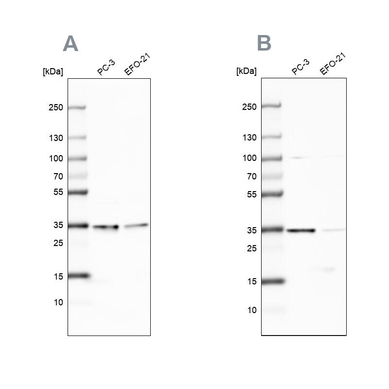
- Western blot analysis of DNAJC9 using DNAJC9 Polyclonal Antibody (Product # PA5-57199) (A) shows similar pattern to an independent DNAJC9 Polyclonal Antibody (B).
Supportive validation
- Submitted by
- Invitrogen Antibodies (provider)
- Main image

- Experimental details
- Immunofluorescent staining of DNAJC9 in human cell line PC-3 shows positivity in plasma membrane, cytoplasm & nucleus but excluded from the nucleoli. Samples were probed using a DNAJC9 Polyclonal Antibody (Product # PA5-57199).
- Submitted by
- Invitrogen Antibodies (provider)
- Main image

- Experimental details
- Immunofluorecent analysis of DNAJC9 in human cell line PC-3 using DNAJC9 Polyclonal Antibody (Product # PA5-57199). Staining shows localization to nucleoplasm, plasma membrane and cytosol.
Supportive validation
- Submitted by
- Invitrogen Antibodies (provider)
- Main image

- Experimental details
- Immunohistochemical analysis of DNAJC9 in human urinary bladder using DNAJC9 Polyclonal Antibody (Product # PA5-57199) shows strong nuclear positivity in urothelial cells.