Antibody data
- Antibody Data
- Antigen structure
- References [0]
- Comments [0]
- Validations
- Western blot [1]
- Immunohistochemistry [1]
- Flow cytometry [1]
Submit
Validation data
Reference
Comment
Report error
- Product number
- AP54222PU-N - Provider product page

- Provider
- OriGene
- Product name
- TEX13B (C-term) rabbit polyclonal antibody, Aff - Purified
- Antibody type
- Polyclonal
- Description
- TEX13B (C-term) rabbit polyclonal antibody, Aff - Purified
- Host
- Rabbit
- Conjugate
- Unconjugated
- Epitope
- TEX13B
- Antibody clone number
- NULL
- Vial size
- 400 µl
- Concentration
- lot specific
No comments: Submit comment
Supportive validation
- Submitted by
- OriGene (provider)
- Main image

- Experimental details
- TEX13B Antibody (C-term) western blot analysis in K562 cell line lysates (35 ug/lane). This demonstrates the TEX13B antibody detected the TEX13B protein (arrow).
- Validation comment
- WB
Supportive validation
- Submitted by
- OriGene (provider)
- Main image

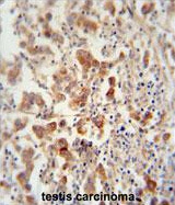
- Experimental details
- TEX13B antibody (C-term) immunohistochemistry analysis in formalin fixed and paraffin embedded human testis carcinoma followed by peroxidase conjugation of the secondary antibody and DAB staining. This data demonstrates the use of the TEX13B antibody (C-term) for immunohistochemistry. Clinical relevance has not been evaluated.
- Validation comment
- IHC
Supportive validation
- Submitted by
- OriGene (provider)
- Main image

- Experimental details
- TEX13B Antibody (C-term) flow cytometric analysis of K562 cells (right histogram) compared to a negative control cell (left histogram). FITC-conjugated goat-anti-rabbit secondary antibodies were used for the analysis.
- Validation comment
- FC