Antibody data
- Antibody Data
- Antigen structure
- References [0]
- Comments [0]
- Validations
- Western blot [1]
- Immunohistochemistry [1]
- Flow cytometry [1]
Submit
Validation data
Reference
Comment
Report error
- Product number
- AP54222PU-N - Provider product page

- Provider
- Acris Antibodies GmbH
- Proper citation
- Acris Antibodies GmbH Cat#AP54222PU-N, RRID:AB_11147690
- Product name
- anti TEX13B (C-term)
- Antibody type
- Polyclonal
- Antigen
- KLH conjugated synthetic peptide between 279-309 amino acids from the C-terminal region of human TEX13B
- Reactivity
- Human
- Host
- Rabbit
- Vial size
- 0.4 ml
- Concentration
- lot specific
No comments: Submit comment
Supportive validation
- Submitted by
- Acris Antibodies GmbH (provider)
- Main image

- Experimental details
- TEX13B Antibody (C-term) (AP54222PU-N) western blot analysis in K562 cell line lysates (35 µg/lane). This demonstrates the TEX13B antibody detected the TEX13B protein (arrow).
Supportive validation
- Submitted by
- Acris Antibodies GmbH (provider)
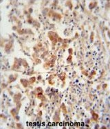
- Main image

- Experimental details
- TEX13B antibody (C-term) (Cat. AP54222PU-N) immunohistochemistry analysis in formalin fixed and paraffin embedded human testis carcinoma followed by peroxidase conjugation of the secondary antibody and DAB staining. This data demonstrates the use of the TEX13B antibody (C-term) for immunohistochemistry. Clinical relevance has not been evaluated.
Supportive validation
- Submitted by
- Acris Antibodies GmbH (provider)
- Main image

- Experimental details
- TEX13B Antibody (C-term) (Cat. AP54222PU-N) flow cytometric analysis of K562 cells (right histogram) compared to a negative control cell (left histogram). FITC-conjugated goat-anti-rabbit secondary antibodies were used for the analysis.