Antibody data
- Antibody Data
- Antigen structure
- References [0]
- Comments [0]
- Validations
- Immunohistochemistry [4]
Submit
Validation data
Reference
Comment
Report error
- Product number
- TA316812 - Provider product page

- Provider
- OriGene
- Product name
- GPR161 Rabbit Polyclonal (N-Terminus) Antibody
- Antibody type
- Polyclonal
- Description
- GPR161 Rabbit Polyclonal (N-Terminus) Antibody
- Host
- Rabbit
- Conjugate
- Unconjugated
- Epitope
- GPR161
- Isotype
- IgG
- Antibody clone number
- NULL
- Vial size
- 50 µg
- Concentration
- 1 mg/ml
No comments: Submit comment
Supportive validation
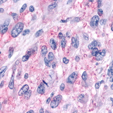
- Submitted by
- OriGene (provider)
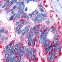
- Main image

- Experimental details
- Anti-GPR161 antibody IHC of human Skin, Melanoma. Immunohistochemistry of formalin-fixed, paraffin-embedded tissue after heat-induced antigen retrieval.
- Validation comment
- IHC
- Submitted by
- OriGene (provider)
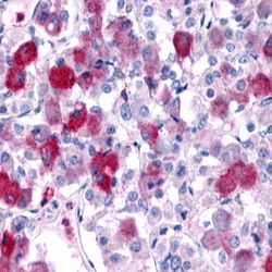
- Main image

- Experimental details
- Anti-GPR161 antibody IHC of human Lung, Adenocarcinoma. Immunohistochemistry of formalin-fixed, paraffin-embedded tissue after heat-induced antigen retrieval.
- Validation comment
- IHC
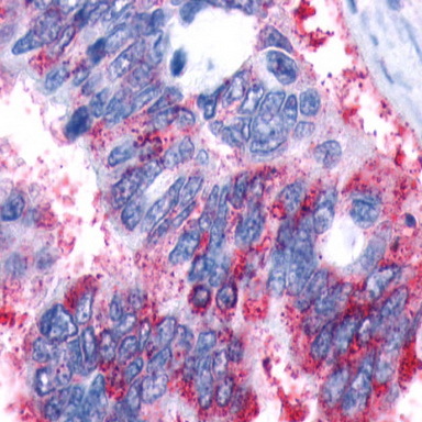
- Submitted by
- OriGene (provider)
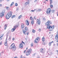
- Main image

- Experimental details
- Anti-GPR161 antibody IHC of human brain, pituitary. Immunohistochemistry of formalin-fixed, paraffin-embedded tissue after heat-induced antigen retrieval.
- Validation comment
- IHC
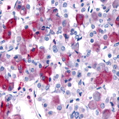
- Submitted by
- OriGene (provider)
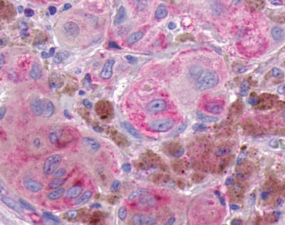
- Main image

- Experimental details
- Anti-GPR161 antibody IHC of human Brain, Glioblastoma. Immunohistochemistry of formalin-fixed, paraffin-embedded tissue after heat-induced antigen retrieval.
- Validation comment
- IHC