Antibody data
- Antibody Data
- Antigen structure
- References [10]
- Comments [0]
- Validations
- Western blot [1]
- Immunohistochemistry [2]
Submit
Validation data
Reference
Comment
Report error
- Product number
- 15219-1-AP - Provider product page

- Provider
- Proteintech Group
- Proper citation
- Proteintech Cat#15219-1-AP, RRID:AB_2171751
- Product name
- PSMA7 antibody
- Antibody type
- Polyclonal
- Description
- PSMA7 antibody (Cat. #15219-1-AP) is a rabbit polyclonal antibody that shows reactivity with human, mouse, rat and has been validated for the following applications: FC, IF, IHC, IP, WB,ELISA.
- Reactivity
- Human, Mouse, Rat
- Host
- Rabbit
- Conjugate
- Unconjugated
- Isotype
- IgG
- Vial size
- 20ul, 150ul
Submitted references Knockout of PA200 improves proteasomal degradation and myelination in a proteotoxic neuropathy.
FMRP, FXR1 protein and Dlg4 mRNA, which are associated with fragile X syndrome, are involved in the ubiquitin-proteasome system.
Reduced hydrogen sulfide production contributes to adrenal insufficiency induced by hypoxia via modulation of NLRP3 inflammasome activation.
Raising cGMP restores proteasome function and myelination in mice with a proteotoxic neuropathy.
The effect and mechanism of 19S proteasome PSMD11/Rpn6 subunit in D-Galactose induced mimetic aging models.
Proteaphagy in Mammalian Cells Can Function Independent of ATG5/ATG7.
Defective proteasome biogenesis into skin fibroblasts isolated from Rett syndrome subjects with MeCP2 non-sense mutations.
Impairment of protein degradation and proteasome function in hereditary neuropathies.
Role of the Ubiquitin C-Terminal Hydrolase L1-Modulated Ubiquitin Proteasome System in Auditory Cortex Senescence.
PSMA7 directly interacts with NOD1 and regulates its function.
VerPlank JJ, Gawron JM, Silvestri NJ, Wrabetz L, Feltri ML
Life science alliance 2024 Apr;7(4)
Life science alliance 2024 Apr;7(4)
FMRP, FXR1 protein and Dlg4 mRNA, which are associated with fragile X syndrome, are involved in the ubiquitin-proteasome system.
Shimizu H, Hohjoh H
Scientific reports 2023 Feb 2;13(1):1956
Scientific reports 2023 Feb 2;13(1):1956
Reduced hydrogen sulfide production contributes to adrenal insufficiency induced by hypoxia via modulation of NLRP3 inflammasome activation.
Zhang N, Zhou Z, Huang Y, Wang G, Tang Z, Lu J, Wang C, Ni X
Redox report : communications in free radical research 2023 Dec;28(1):2163354
Redox report : communications in free radical research 2023 Dec;28(1):2163354
Raising cGMP restores proteasome function and myelination in mice with a proteotoxic neuropathy.
VerPlank JJS, Gawron J, Silvestri NJ, Feltri ML, Wrabetz L, Goldberg AL
Brain : a journal of neurology 2022 Mar 29;145(1):168-178
Brain : a journal of neurology 2022 Mar 29;145(1):168-178
The effect and mechanism of 19S proteasome PSMD11/Rpn6 subunit in D-Galactose induced mimetic aging models.
Wu H, Sun H, He Z, Chen X, Li Y, Zhao X, Kong W, Kong W
Experimental cell research 2020 Sep 1;394(1):112093
Experimental cell research 2020 Sep 1;394(1):112093
Proteaphagy in Mammalian Cells Can Function Independent of ATG5/ATG7.
Goebel T, Mausbach S, Tuermer A, Eltahir H, Winter D, Gieselmann V, Thelen M
Molecular & cellular proteomics : MCP 2020 Jul;19(7):1120-1131
Molecular & cellular proteomics : MCP 2020 Jul;19(7):1120-1131
Defective proteasome biogenesis into skin fibroblasts isolated from Rett syndrome subjects with MeCP2 non-sense mutations.
Sbardella D, Tundo GR, Cunsolo V, Grasso G, Cascella R, Caputo V, Santoro AM, Milardi D, Pecorelli A, Ciaccio C, Di Pierro D, Leoncini S, Campagnolo L, Pironi V, Oddone F, Manni P, Foti S, Giardina E, De Felice C, Hayek J, Curatolo P, Galasso C, Valacchi G, Coletta M, Graziani G, Marini S
Biochimica et biophysica acta. Molecular basis of disease 2020 Jul 1;1866(7):165793
Biochimica et biophysica acta. Molecular basis of disease 2020 Jul 1;1866(7):165793
Impairment of protein degradation and proteasome function in hereditary neuropathies.
VerPlank JJS, Lokireddy S, Feltri ML, Goldberg AL, Wrabetz L
Glia 2018 Feb;66(2):379-395
Glia 2018 Feb;66(2):379-395
Role of the Ubiquitin C-Terminal Hydrolase L1-Modulated Ubiquitin Proteasome System in Auditory Cortex Senescence.
Zhang Y, Huang X, Zhao XY, Hu YJ, Sun HY, Kong WJ
ORL; journal for oto-rhino-laryngology and its related specialties 2017;79(3):153-163
ORL; journal for oto-rhino-laryngology and its related specialties 2017;79(3):153-163
PSMA7 directly interacts with NOD1 and regulates its function.
Yang L, Tang Z, Zhang H, Kou W, Lu Z, Li X, Li Q, Miao Z
Cellular physiology and biochemistry : international journal of experimental cellular physiology, biochemistry, and pharmacology 2013;31(6):952-9
Cellular physiology and biochemistry : international journal of experimental cellular physiology, biochemistry, and pharmacology 2013;31(6):952-9
No comments: Submit comment
Supportive validation
- Submitted by
- Proteintech Group (provider)
- Main image

- Experimental details
- HeLa cells were subjected to SDS PAGE followed by western blot with 15219-1-AP(PSMA7 antibody) at dilution of 1:1000
- Sample type
- cell line
Supportive validation
Supportive validation
- Submitted by
- Proteintech Group (provider)
- Main image

- Experimental details
- The PSMA7 antibody from Proteintech is a rabbit polyclonal antibody to a recombinant protein of human PSMA7. This antibody recognizes human,mouse,rat antigen. The PSMA7 antibody has been validated for the following applications: ELISA, WB, IHC analysis.
Supportive validation
- Submitted by
- Proteintech Group (provider)
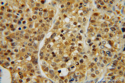
- Main image

- Experimental details
- Immunohistochemical of paraffin-embedded human liver cancer using 15219-1-AP(PSMA7 antibody) at dilution of 1:50 (under 10x lens)
- Sample type
- tissue