Antibody data
- Antibody Data
- Antigen structure
- References [1]
- Comments [0]
- Validations
- Western blot [2]
- Immunohistochemistry [1]
Submit
Validation data
Reference
Comment
Report error
- Product number
- GTX113531 - Provider product page

- Provider
- GeneTex
- Proper citation
- GeneTex Cat#GTX113531, RRID:AB_2037785
- Product name
- PSMA7 antibody [N1C2]
- Antibody type
- Polyclonal
- Reactivity
- Human, Mouse
- Host
- Rabbit
Submitted references Network of brain protein level changes in glutaminase deficient fetal mice.
Bae N, Wang Y, Li L, Rayport S, Lubec G
Journal of proteomics 2013 Mar 27;80:236-49
Journal of proteomics 2013 Mar 27;80:236-49
No comments: Submit comment
Supportive validation
- Submitted by
- GeneTex (provider)
- Main image

- Experimental details
- Sample (30 ug of whole cell lysate) A: A431 (GTX27909) B: H1299 12% SDS PAGE GTX113531 diluted at 1:1000
- Submitted by
- GeneTex (provider)
- Main image

- Experimental details
- Sample (50 ug of whole cell lysate) A: mouse brain 12% SDS PAGE GTX113531 diluted at 1:1000
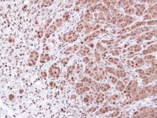
Supportive validation
- Submitted by
- GeneTex (provider)
- Main image

- Experimental details
- Immunohistochemical analysis of paraffin-embedded DLD-1 xenograft, using proteasome alpha 7(GTX113531) antibody at 1:100 dilution.